Protetyka stomatologiczna

Protetyka jest głęboko w sercu kliniki — to od niej wszystko się zaczęło. Ta dziedzina stomatologii dotyczy rekonstrukcji utraconych lub zniszczonych zębów i dziąseł.

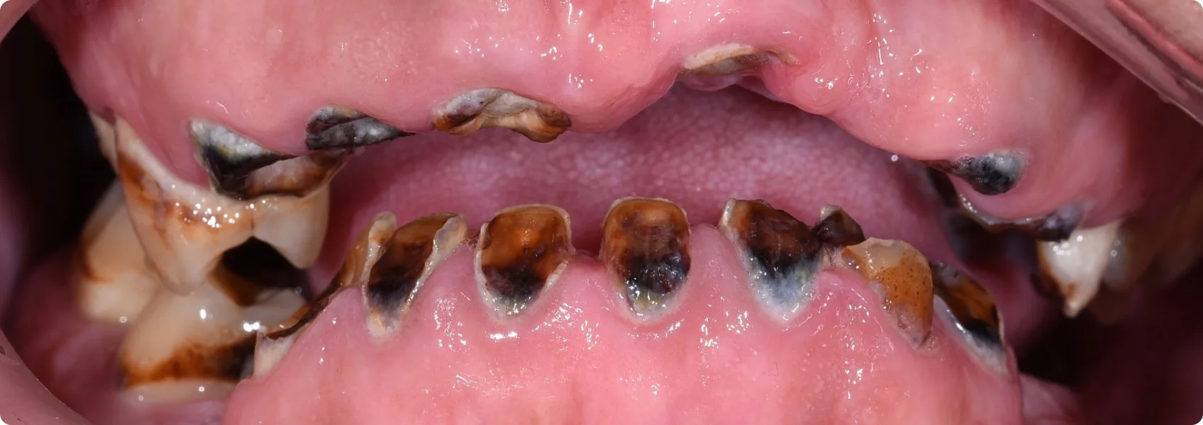
Głównym celem protetyków jest przywracanie funkcji. Pacjenci protetyczni mogą znów normalnie jeść, gryźć, żuć i mówić. Lubimy mówić, że estetyka jest tylko miłym efektem ubocznym całego leczenia. Leczymy najtrudniejsze, dla niektórych wręcz niemożliwe przypadki — wieloletnie bezzębie, ścieranie zębów, Pacjentów po wypadkach, z wadami rozwojowymi. Przy zaangażowaniu Pacjentów, naprawiamy zaniedbania poprzednich lat.

 

Pacjentów protetycznych w NDC prowadzi lekarz ze specjalizacją w protetyce stomatologicznej. Szkolimy także innych lekarzy z całej Polski w zakresie tej specjalizacji.

Usługi protetyczne w Noir Dental Clinic

Licówki pełnoceramiczne
Licówki pełnoceramiczne służą do odbudowy estetyki naturalnych zębów. To cieniutkie płatki porcelany przyklejane do przedniej powierzchni zębów, aby poprawić ich wygląd.
rozwiń opis ↓
Korony protetyczne
Korony protetyczne to uzupełnienia całej widocznej części zęba. Służą nie tylko do poprawy estetyki, ale i funkcji. Kiedy ząb jest mocno zniszczony, kiedy wszczepiamy implanty lub zęby mocno się starły — korony bywają niezastąpione.
rozwiń opis ↓
Mosty protetyczne
Mosty to konstrukcje, które odtwarzają braki zębowe. Mogą być mocowane na implantach lub zębach własnych. To na nich osadza się lub przykręca rekonstrukcję, która odtwarza brakujące zęby, a nierzadko i dziąsła.
rozwiń opis ↓
Protezy stałe i zdejmowalne
Choć potocznie nazywamy nimi uzupełnienia dla Pacjentów z większymi brakami zębowymi, protezy to wszystkie uzupełnienia protetyczne (również licówki, korony czy mosty). Dzięki nim możemy odbudować część lub całość łuku zębowego.
rozwiń opis ↓
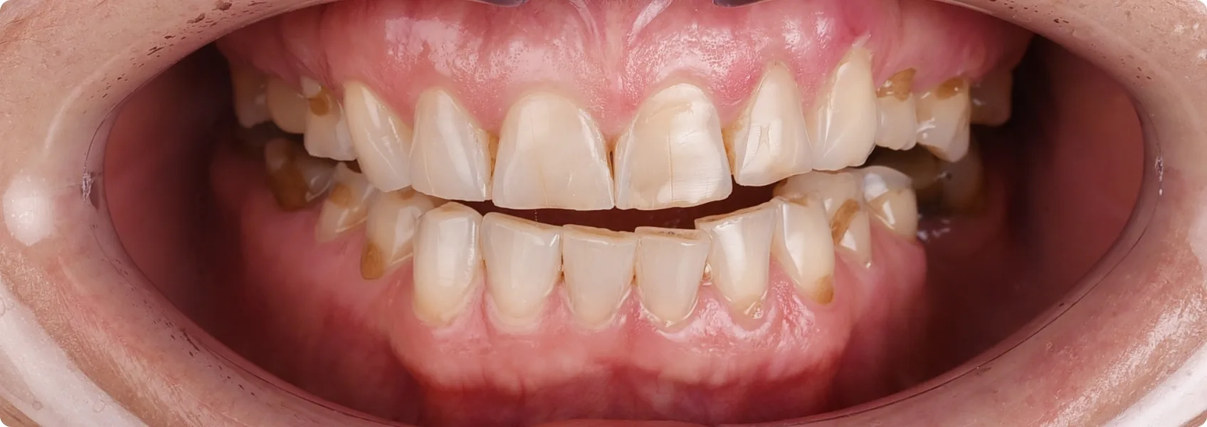
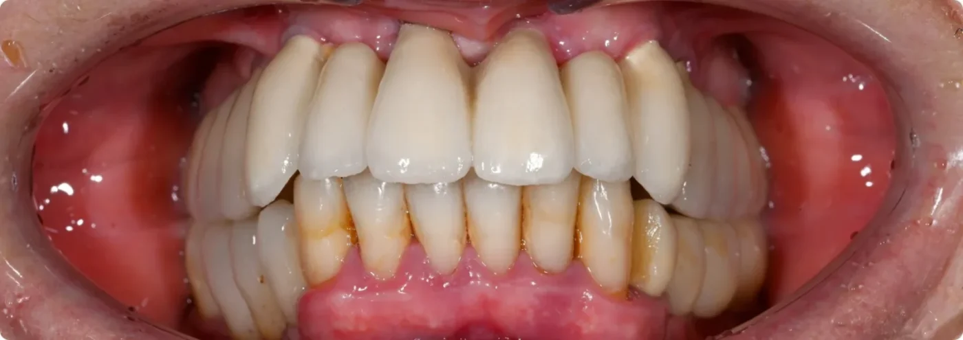
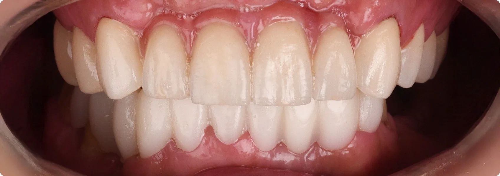
METAMORFOZY

Potrafisz odróżnić pracę protetyków NDC od natury?

Specjalizujemy się w odtwarzaniu naturalnych, realistycznych uśmiechów. Nasze protezy (licówki, korony i mosty) ciężko odróżnić od prawdziwych zębów. Sprawdź realne efekty leczenia naszych Pacjentów.
zobacz metamorfozy pacjentów →

Najczęściej zadawane pytania

Czy po oszlifowaniu zęby są słabsze?
Nie, wręcz przeciwnie. Licówki czy korony są osłoną zębów — chronią i wzmacniają je. Poprawa estetyki jest tylko miłym efektem ubocznym.
Jak mocno trzeba oszlifować ząb?
Podchodzimy z dużym szacunkiem do natury. Szlifujemy tylko tyle, ile jest absolutnie konieczne. Czasem wcale, jeśli odtwarzamy starte uzębienie. Preparacja jest minimalna, w zakresie 0,7 — 1,3 mm.
Czy jest gwarancja na pracę protetyczną?
W medycynie nie stosuje się gwarancji w dosłownym znaczeniu, jak np. w przypadku sprzętu AGD. Działamy z żywymi tkankami, które reagują indywidualnie – każdy organizm może w inny sposób odpowiedzieć na leczenie.

Sukces leczenia w dużej mierze zależy też od higieny Pacjenta. Powikłania mogą wystąpić, nawet jeśli lekarz i technik wykonają swoją pracę perfekcyjnie.

W przypadku uzupełnień protetycznych obowiązuje jednak dwuletnia rękojmia, czyli odpowiedzialność za wady fizyczne i prawne wykonanej pracy.
Czy uzupełnienia protetyczne mogą wyglądać naturalnie?
Dobrze wykonane — absolutnie tak. Innych nie robimy! W NDC nie budujemy uśmiechów, które wyglądają na „zrobione”. Odtwarzamy naturalne piękno zębów, z ich drobnymi niedoskonałościami, w zgodzie z harmonią twarzy.

Największym komplementem dla protetyka jest to, że… nikt nie zauważa naszej pracy. Zamiast pytań o leczenie, Pacjenci słyszą: „Wyglądasz świetnie! Coś się zmieniło?”

Nasza estetyka to nie hollywoodzka przesada, lecz subtelność i wyczucie.
Jak długo mogę chodzić w uzupełnieniu tymczasowym?
Tyle, ile trzeba. Uzupełnienie tymczasowe (prowizorium) pełni wiele funkcji — dzięki niemu sprawdzamy poprawność zgryzu, oceniamy nowy kształt zębów. Prowizorium to narzędzie komunikacji pomiędzy Pacjentem, protetykiem a technikiem dentystycznym. Dzięki niemu finalna praca jest w pełni przewidywalna.

Jak rozpoznać dobrego protetyka?

Zapytaj swojego protetyka o protokoły leczenia. Leczenie w NDC opiera się na rozbudowanych, wieloetapowych protokołach, które nie są standardem w wielu gabinetach. Tylko w ten sposób możemy leczyć przewidywalnie i bezpiecznie.
przejdź do artykułu →

Standardowy
protokół leczenia protetycznego

NASZ
protokół leczenia protetycznego

01
pomiary łukiem twarzowym
Pobieramy precyzyjne pomiary całej twarzy. Nie da się bez nich zbudować dokładnej pracy protetycznej.
02
Wax-up
Technik dentystyczny buduje wierny model nowego zgryzu. Jest on niezbędny, by zaplanować leczenie i znać jego efekt.
03
Artykulator
Eliminujemy ryzyko zaburzonej funkcji zgryzu. Bez tego nie dowiemy się, czy proteza pozwoli prawidłowo mówić i gryźć.
04
Mock-up
Tworzymy przymiarkę nowego uśmiechu. Pacjent ocenia w lustrze kształt i wygodę przyszłej pracy, może zgłosić uwagi.
Preparacja na oko
Szlifowanie zębów bez wcześniejszych pomiarów ani przymiarek. Łatwo oszlifować zbyt dużo zdrowego zęba!
05
Preparacja przez mock-up
Szlifujemy zęby przez indywidualny szablon, nigdy na oko! Redukujemy tylko tyle zdrowego zęba, ile konieczne.
Prowizorium
Pomiędzy zabiegami Pacjent nosi tymczasowe uzupełnienie, które ma inny kształt niż docelowe zęby.
06
Prowizorium
Pomiędzy zabiegami Pacjent nosi tymczasowe uzupełnienie, które ma kształt docelowych zębów.
 
 
07
Try-in
Sprawdzamy, czy finalna praca będzie pasować w ustach Pacjenta, nie będzie podrażniać i czy będzie szczelna.
Finalna praca
Może nie pasować. Wysokie ryzyko awarii i powikłań, rosnące z czasem. Nieprzewidywalny wygląd zębów i efekt leczenia.
08
Finalna praca
Zawsze pasuje. Niskie ryzyko awarii i powikłań. Praca na lata. Przewidywalny wygląd zębów. Efekt jak w planie leczenia.

Ewa Chomik

dr n. med.
specjalista protetyki

To od niej wszystko się zaczęło. Zawsze kulturalna, zawsze elegancka i poukładana. Tytan pracy.

Adrian Złotogórski

lek. dent.
protetyka stomatologiczna

Zaczynał jako technik dentystyczny, a dziś jest protetykiem stomatologicznym.

Baza wiedzy stomatologicznej

W naszej bazie wiedzy znajdziesz artykuły m.in. na temat licówek, koron czy mostów protetycznych.
przejdź do bazy wiedzy →

Umów się na wizytę

Skontaktuj się z nami lub umów wizytę online.

+ 48 505 505 549
rejestracja@noirdentalclinic.pl
Zarezerwuj wizytę online →