Powrót

Estetyka z najwyższej półki

Diagnoza
Starte zęby, duża nadwrażliwość
Wyzwanie
Praca wykonana dla bliskiej osoby — duży ładunek emocjonalny podczas leczenia
Wdrożone leczenie
Korony protetyczne
Czas leczenia
8 miesięcy
Lekarz prowadzący
dr n. med. Ewa Chomik

To było szczególne leczenie — Pacjentka to bardzo bliska naszej klinice osoba.

Zwróciła się z prośbą o odbudowę protetyczną do dr n. med. Ewy Chomik. Nie musiała dodawać, że ma być najpiękniej i najnaturalniej, jak tylko się da. To doktor Ewa założyła samodzielnie już na starcie.

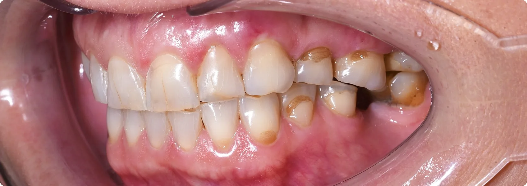
Wstępna diagnoza wykazała mocno starte, dysfunkcyjne zęby.

Dotychczasowe ustawienie zębów nie spełniało swojej funkcji. Pacjentka przez lata ścierała ich końcówki o siebie. Na powierzchni zębów pojawiały się pęknięcia i ubytki.

Pacjentka skarżyła się na obszerną nadwrażliwość.

Kiedy szkliwo — twarda, zewnętrzna warstwa ochronna zębów — ściera się, odsłania się zębina, czyli warstwa zęba ukryta pod szkliwem. W zębinie znajdują się tysiące mikroskopijnych kanalików, które prowadzą aż do nerwu zęba.

Gdy zimno, ciepło, słodkie lub kwaśne dostanie się do tych kanalików – nagły impuls bólowy trafia wprost do nerwu. To właśnie nadwrażliwość – szybka, ostra i bolesna reakcja na bodźce.

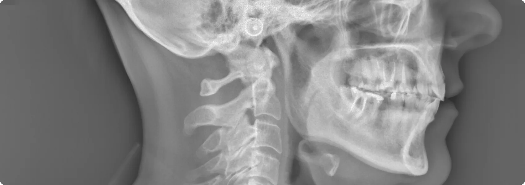
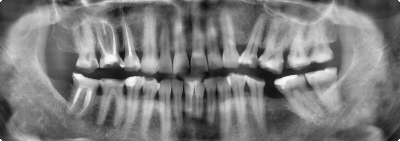
Zaczęliśmy od diagnostyki. Zdjęcia RTG pozwoliły ocenić stan korzeni zębów i kości.

Starty ząb często ma odsłoniętą lub podrażnioną miazgę zębową. RTG pokazuje, czy nastąpiło już zapalenie miazgi, martwica lub inne zmiany wymagające leczenia kanałowego (endodoncji) przed leczeniem protetycznym. Na szczęście, w tym przypadku mogliśmy przystąpić od razu do protetyki.

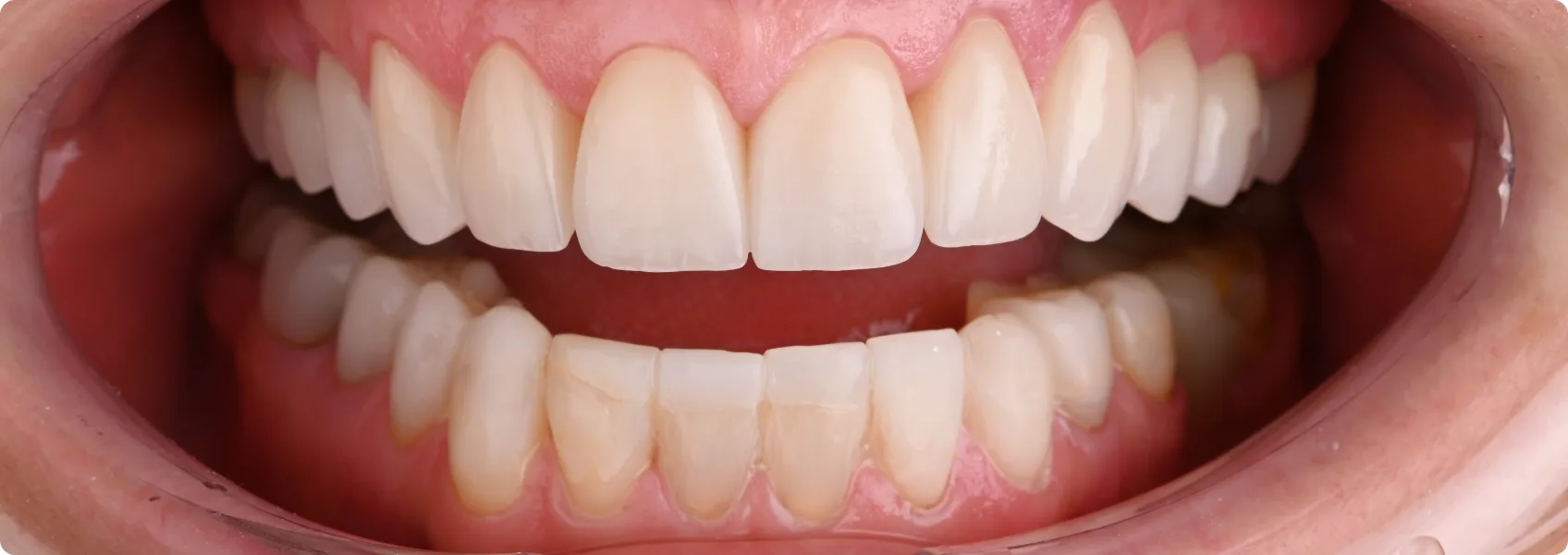
Doktor Ewa zaplanowała korony pełnoceramiczne.

Korony pełnoceramiczne to najbardziej estetyczne rozwiązanie z protetycznego arsenału. Są naturalnie przezierne i idealnie dopasowane do koloru zębów. Doskonale imitują naturalne szkliwo, przez co często stosujemy je w odcinkach przednich, gdy zależy nam na perfekcyjnym wyglądzie.

Aby założyć korony, trzeba wykonać preparację (oszlifować zęby własne). Preparacja musi być wykonana ostrożnie, by zeszlifować tylko tyle, ile absolutnie konieczne.

Preparacja zębów to punkt krytyczny w leczeniu protetycznym, zza którego nie da się zawrócić. Jeśli lekarz wykona ją zbyt agresywnie, niedokładnie lub bez planu, może doprowadzić do nieodwracalnych szkód w zdrowej części zęba.

Źle zeszlifowany ząb może doprowadzić do nieszczelności korony, próchnicy, zapalenia dziąseł i odklejenia się pracy protetycznej.

Zawsze napierw wax-up i mock-up…

Naturalne zęby są dla nas zbyt cenne, by zabierać się za szlifowanie na oko. Przed zabiegiem zlecamy w laboratorium protetycznym wykonanie wax-upu, a następnie w formie mock-upu przekładamy go do jamy ustnej.

Wax-up to tymczasowy, woskowy model przyszłych zębów. To jak „próbny uśmiech z wosku”. Mock-up przełożony na zęby Pacjenta za pomocą specjalnych form silikonowych (tzw. kluczy) nie jest szczegółowy — jego niedoskonałości widać szczególnie przy dziąsłach i pomiędzy zębami. Jest jednak niezastąpionym narzędziem komunikacji z Pacjentem.

Działa także jak szablon głębokości szlifowania. Dzięki niemu lekarz podczas zabiegu dokładnie widzi, ile zęba trzeba zeszlifować, a ile zostawić.

Niektórzy lekarze pomijają ten krok, ale dla nas wax-up i mock-up są obowiązkowe. Dzięki nim Pacjent widzi na żywo planowany efekt leczenia, jeszcze zanim lekarz dotknie zębów wiertłem.

… a potem uzupełnienie tymczasowe (prowizorium)!

Na podstawie zaakceptowanego przez Pacjenta mock-upu po preparacji zębów wykonujemy uzupełnienie tymczasowe. Tymczasówki (prowizorium) to tymczasowe cienkie nakładki na zęby wykonana z materiału będącego hybrydą kompozytu z akrylem.

Taka preparacja jest minimalnie inwazyjna — protetyk usuwa tylko tyle szkliwa, ile naprawdę trzeba do założenia pracy protetycznej. Reszta naturalnego zęba pozostaje nienaruszona.

Na górze korony pełnoceramiczne, na dole jeszcze “tymczasówka”.

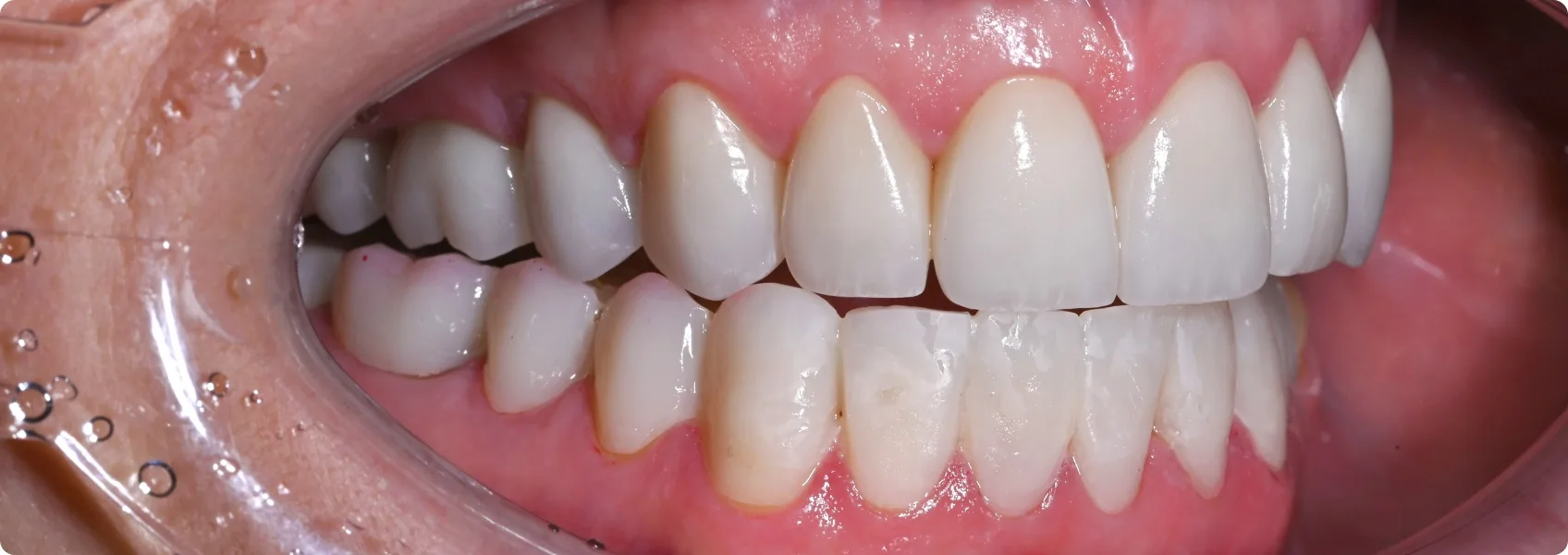
Finalnie doktor Ewa w łuku górnym założyła przygotowane korony pełnoceramiczne.

W łuku dolnym na zdjęciach widoczna jest jeszcze rekonstrukcja w formie tymczasowej – długoczasowej. Taka “tymczasówka” nie jest na stałe. Nie wygląda zbyt naturalnie, a po kilku miesiącach zaczyna przebarwiać się wskutek wnikania w materiał barwników z jedzenia. Można ją jednak nosić w oczekiwaniu na dalsze etapy leczenia.

Przywróciliśmy funkcję — prawidłowe kontakty pomiędzy zębami górnymi i dolnymi.

Genialnie wręcz odbudowane prowadzenia boczne i przednie sprawiły, że zęby przestały wreszcie nieprawidłowo trzeć o siebie. Doktor Ewa przywróciła nie tylko estetykę, ale przede wszystkim prawidłową funkcję zębów. Pacjentka przestała cierpieć na bolesną nadwrażliwość.

Korony pełnoceramiczne to estetyka z najwyższej półki. Dobrze zrobione — są nie do odróżnienia od naturalnych zębów.

Efekt leczenia? Uśmiech, który zachwyca naturalnością, subtelnym blaskiem i perfekcyjnym dopasowaniem. Pacjentka to wyjątkowo roześmiany, serdeczny człowiek. Dzięki nowym zębom zyskała więcej pewność siebie.

Znamy się z Pacjentką bardzo dobrze — zapewniamy, że uśmiecha się absolutnie całą sobą i bez cienia zawahania. To ten moment, w którym satysfakcja wynagradza trudy leczenia protetycznego.

Ewa Chomik

dr n. med.
specjalista protetyki

To od niej wszystko się zaczęło. Zawsze kulturalna, zawsze elegancka i poukładana. Tytan pracy.

Umów się na wizytę

Skontaktuj się z nami lub umów wizytę online.

+ 48 505 505 549
rejestracja@noirdentalclinic.pl
Zarezerwuj wizytę online →