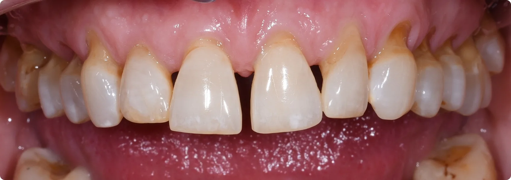
Widocznym na pierwszy rzut oka problem Pacjentki były głębokie recesje dziąsłowe.
Dziąsła były mocno cofnięte, przez co odsłoniły szyjki zębowe. Z tego powodu zęby utraciły dotychczasową stabilizację i zaczęły rozsuwać się na boki. Powstały nieestetyczne szpary w przednim odcinku uśmiechu.
Zęby nie były równo ułożone.
Linia górnego ani dolnego łuku zębowego nie była prosta, a końcówki dolnych siekaczy były starte. Dodatkowym problemem był rzucający się w oczy żółty kolor widocznych korzeni oraz białawe plamy na szkliwie.
Pacjentka paliła papierosy, co negatywnie wpłynęło na stan zębów.
Trafiła jednak pod kontrolę periodontologiczną lek. dent. Dominiki Przybyłki oraz regularnie odwiedzała nasze gabinety higienizacji. Dzięki temu zatrzymaliśmy postęp choroby przyzębia i mogliśmy skupić się na odbudowie estetyki.
Pacjentka przeszła zabieg wybielania zębów w gabinecie higienistki Agnieszki Bussler. Przy użyciu lampy Beyond® maksymalnie rozjaśniliśmy ich naturalny kolor przed dalszym leczeniem.
Leczenie jak najmniej inwazyjne — bez szlifowania zębów. Wybór padł na bonding.
Jako alternatywę dla klasycznej protetyki doktor Dominika zaproponowała odbudowę w gabinecie stomatologii zachowawczej. Bonding to bezbolesna i nieinwazyjna metoda, w której lekarz nakłada pędzelkiem cienkie warstwy kompozytu światłoutwardzalnego. Tworzy w ten sposób nowy kształt zębów, poprawia kolor i wyrównuje linię uśmiechu.
Efekty były spektakularne.
W ciągu zaledwie dwóch trzygodzinnych wizyt doktor Dominika odbudowała oba łuki zębowe. Pokryła kompozytem odsłonięte korzenie w taki sposób, że recesje zniknęły, a kolor zębów całkowicie się ujednolicił.
Doktor Dominika przy pomocy bondingu zamknęła szpary, wyrównała zęby, nadała im całkowicie nowy kształt.
Zostawiła niewielką przerwę pomiędzy górnymi siekaczami, aby nie poszerzyć ich zanadto i nie zepsuć estetyki odbudowy. Pacjentka zyskała bardzo naturalny, piękny uśmiech, odbudowany na zębach własnych.

