Powrót

Zły bonding vs dobry bonding

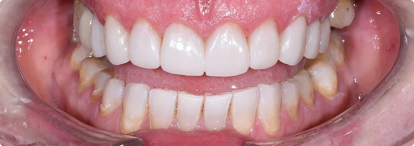
Diagnoza
Starte i nieestetyczne zęby, liczne ubytki, mało estetyczne wypełnienia kompozytowe
Wyzwanie
Źle wykonany bonding w innej klinice
Wdrożone leczenie
Bonding
Czas leczenia
3 wizyty (ok. miesiąc)
Lekarz prowadzący
dr n. med. Ewa Chomik

Pacjentka zgłosiła się do nas z powodu startego uzębienia i licznych ubytków przydziąsłowych.

Korzystała wcześniej z usług innych lekarzy, jednak pojedyncze wypełnienia kompozytowe były mało estetyczne. Odbudowane dotąd zęby miały żółtawy kolor
i chropowatą powierzchnię.

Aby trwale, estetycznie i funkcjonalnie odbudować starcia, doktor Dominika Przybyłka zaproponowała wykonanie bondingu.

Ostatecznie jednak Pacjentka zdecydowała się przeprowadzić ten zabieg w innej klinice.

Niestety, efekt był rozczarowujący. Liczne awarie rekonstrukcji i brak satysfakcjonującej estetyki skłoniły Pacjentkę do powrotu do Noir Dental Clinic.

Ponieważ rekonstrukcja z innej kliniki ulegała awariom, koszt leczenia znacznie przewyższył pierwotne założenia.

Wyzwaniem stała się już nie tylko odbudowa starć zębów, ale przede wszystkim usunięcie problematycznego bondingu, który kaleczył i drażnił dziąsło
wraz z tkankami przyzębia.

Doktor Dominika poprawiła źle wykonany bonding.

Wdrożyła leczenie zachowawcze i usunęła stare wypełnienia i poprzednią pracę. Następnie wykonała nowy bonding — tym razem poprawny i trwały.

Zęby Pacjentki stały się bielsze, wypełnienia bardziej estetyczne, a dziąsło nareszcie odpoczęło od ciągłych podrażnień.

Ewa Chomik

dr n. med.
specjalista protetyki

To od niej wszystko się zaczęło. Zawsze kulturalna, zawsze elegancka i poukładana. Tytan pracy.

Umów się na wizytę

Skontaktuj się z nami lub umów wizytę online.

+ 48 505 505 549
rejestracja@noirdentalclinic.pl
Zarezerwuj wizytę online →