To jedna z najbardziej spektakularnych metamorfoz w historii naszej kliniki. Zęby Pacjenta były bardzo zniszczone i w praktyce nie dało się nimi gryźć.
Pacjent codziennie zmagał się z bólem i ogromnym dyskomfortem. Kiedy zęby są mocno zniszczone i nie mogą prawidłowo gryźć, pokarm trafia do żołądka w zbyt dużych kawałkach.
To obciąża układ trawienny i utrudnia wchłanianie składników odżywczych. Pojawiają się niestrawności, wzdęcia, ból brzucha oraz długofalowo problemy gastryczne i niedobory witamin i mikroelementów, prowadzące do dalszych poważnych chorób.
Pacjent bał się leczenia. Bardzo długo zwlekał z wizytą u specjalisty. Problemy narastały powoli, a głęboko zakorzeniony lęk przed dentystą tylko potęgował odkładanie decyzji o leczeniu. W końcu odważył się zawalczyć o swoje zdrowie. Trafił do gabinetu wybitnego protetyka, naszej dr n. med. Ewy Chomik.
Przypadki Pacjentów w takim stanie doktor Ewa traktuje szczególnie osobiście. Pomoc im to dla niej niemal sprawa honoru. To niezwykle ciepła i empatyczna lekarka, rozumie ból Pacjentów i ich marzenie o zmianie. Chce dać im uśmiech idealny. Taki, jakiego być może nigdy się nie spodziewali.
W NDC podchodzimy z ogromnym szacunkiem to naturalnych tkanek Pacjenta. Ratujemy zęby, które inni lekarze chcą usuwać.
Wierzymy, że najlepszym implantem i najdoskonalszym filarem pod protezę jest zawsze własny, zdrowy ząb Pacjenta. Natura wyposażyła nas w niezwykle precyzyjny i funkcjonalny narząd żucia.
Zanim podejmiemy więc decyzję o usunięciu, wykorzystujemy całą naszą wiedzę, by spróbować uratować każdy ząb, który ma choćby cień szansy na wyleczenie i dalsze, wieloletnie funkcjonowanie.
To podejście wynika z przekonania, że nawet najlepsza rekonstrukcja jest tylko próbą naśladowania doskonałości natury. Tam, gdzie inni widzą konieczność ekstrakcji (usunięcia), my często dostrzegamy możliwość leczenia i odbudowy na własnych, solidnych filarach.
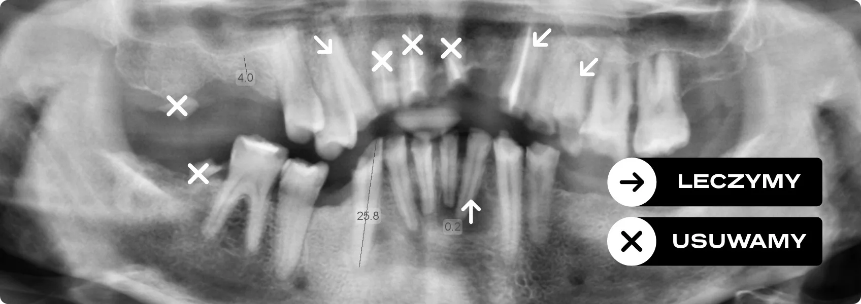
Doktor Ewa i nasza specjalistka od endodoncji, lek. dent. Katarzynie Morozik, przeanalizowały zdjęcia RTG Pacjenta. Na ich podstawie oceniły, które z chorych zębów mają szansę na ratunek dzięki leczeniu kanałowemu.
Zanim mogliśmy pomyśleć o pięknej odbudowie, musieliśmy stworzyć idealnie zdrowe środowisko w jamie ustnej. Tylko w ten sposób minimalizujemy ryzyko powikłań i awarii.
Doktor Katarzyna przeprowadziła pod mikroskopem skomplikowane leczenie kanałowe, wzmacniając te zęby, które rokowały nadzieję.
Następnie jama ustna Pacjenta przeszła pełną sanację, czyli kompleksowe działania lecznicze. Co to oznacza w praktyce? Pozbyliśmy się wszystkich ognisk infekcji, usunęliśmy zęby, których nie dało się już uratować, i dokładnie oczyściliśmy pozostałe. Ekstrakcjami zajął się nasz chirurg szczękowo-twarzowy, dr n. med. Piotr Chomik.
Dopiero na tak przygotowanym, zdrowym „placu budowy” mogliśmy zaplanować stabilną i bezpieczną rekonstrukcję protetyczną.
Zbudować zgryz od podstaw w takim przypadku to jak zbudować dom na ruchomych piaskach — najpierw musimy stworzyć stabilne, zupełnie nowe podłoże.
Jednym z największych wyzwań w tym leczeniu było ustalenie prawidłowej pozycji zgryzu. To niezwykle trudny etap, ponieważ cały układ zgryzu trzeba zaplanować od zera.
Proces niszczenia zębów postępował u Pacjenta przez lata. Do sytuacji zaadaptowały się mięśnie i stawy. W takiej sytuacji nie możemy po prostu “wstawić” protezy i wypuścić Pacjenta do domu. W podobnie patologicznej sytuacji, bez gruntownego „przeprogramowania” całego układu żucia, takie działanie byłoby katastrofalne w skutkach.
Mięśnie, które przez lata przyzwyczaiły się do pracy w nieprawidłowym ustawieniu szczęk, oraz stawy skroniowo-żuchwowe, które kompensowały te zmiany, natychmiast zaczęłyby „walczyć” z narzuconą, obcą im pozycją.
Doprowadziłoby to do bólu Pacjenta, awarii protezy i braku funkcjonalności. Cały układ nerwowo-mięśniowy byłby w konflikcie z estetycznym, ale zupełnie nie fizjologicznym ustawieniem. Dlatego kluczowe jest najpierw „zresetowanie” tego układu i odnalezienie nowej, zdrowej pozycji dla szczęk.
W takich przypadkach stosujemy deprogramację lub szynoterapię. To swoiste „resetowanie” nieprawidłowych nawyków mięśniowych. To absolutnie niezbędny krok dla trwałości przyszłej pracy protetycznej. Zwykle wygląda to tak, że Pacjent przez kilka tygodni, nosi zdejmowalną nakładkę na zęby (szynę). Jej celem jest rozluźnienie napiętych mięśni żuchwy i „zapomnienie” przez nie starych, nieprawidłowych nawyków zgryzowych.
Dopiero wtedy możemy przejść do dalszych kroków. Technik dentystyczny drukuje model nowego zgryzu Pacjenta (tzw. wax-up), który będzie naszym wzorcem do dalszej pracy.
W NDC Pacjent aktywnie uczestniczy w projektowaniu swojego nowego uśmiechu. Zanim przystąpimy do jakichkolwiek nieodwracalnych działań na zębach, tworzymy wstępną wizualizację przyszłej odbudowy. Można ją założyć i przejrzeć się w lustrze!
Jest to tzw. mock-up, czyli tymczasowy model nowych zębów, który umieszczamy w ustach Pacjenta na jego własnych zębach, bez żadnej ingerencji w nie. Mock-up możemy po chwili ściągnąć.
To jak „przymiarka uśmiechu”. Pacjent na tym etapie może ocenić kształt, wielkość, a nawet funkcję przyszłej rekonstrukcji i zgłosić wszelkie uwagi. To bezcenny etap, który eliminuje ryzyko rozczarowań.
W trakcie wieloetapowego leczenia protetycznego Pacjent nie pozostaje bez zębów. Zakładamy uzupełnienie tymczasowe (prowizorium), które zastępuje zęby na czas tworzenia pracy ostatecznej. To również dla nas ważny etap kontrolny. Nasze prowizoria wiernie imitują kształt finalnej protezy. Dzięki temu Pacjent ma zwykle kilka tygodniu lub miesięcy, by przetestować nowy zgryz — rezultat leczenia nie jest zaskoczeniem.
Sytuacja, w której odbieramy garnitur szyty na miarę i dopiero wtedy okazuje się, że rękaw jest za krótki, jest bardzo kłopotliwa. Poprawki na gotowym produkcie są trudne i kosztowne. W stomatologii mamy na to sposób!
Zanim laboratorium wykona pracę ostateczną z docelowych, drogich materiałów, tworzymy try-in. Jest to dokładna kopia przyszłej rekonstrukcji, ale wykonana z dużo tańszego akrylu (PMMA).
Podczas tej „próby generalnej” doktor Ewa, używa kalki zgryzowej do oceny jakości kontaktów między zębami. To specjalny, barwny papier wsuwany pomiędzy górne i dolne zęby.
Pacjent zagryza go, a w miejscach kontaktu jednego zęba z drugim, kalka zostawia odbarwienie. Dzięki temu protetyk ocenia idealne dopasowanie, równomierność zgryzu i sprawdza, czy nie ma żadnych punktów „przeszkadzających” w funkcjonowaniu.
Sam Pacjent również ocenia komfort, ilość miejsca dla języka, ogólne odczucia. Każdą uwagę możemy na tym etapie łatwo skorygować. Dopiero idealnie zaakceptowany try-in staje się ostatecznym wzorcem do stworzenia pracy.
Gdy brakuje dziąsła, nie wydłużamy zębów! To często brzydkie i ryzykowne rozwiązanie, stosowane przez lekarzy, którzy nie chcą lub nie potrafią odtworzyć dziąsła. W NDC nie boimy się masek dziąsłowych — jesteśmy w nich eskspertami.
Nowy uśmiech naszego Pacjenta zrekonstruowaliśmy przy pomocy mostu protetycznego, zamontowanego na jego własnych, wcześniej wyleczonych zębach. Jednak w tym przypadku, aby osiągnąć prawdziwie naturalny i harmonijny efekt, doktor Ewa zdecydowała o zastosowaniu dodatkowego elementu — maski dziąsłowej. Co to takiego?
To indywidualnie projektowana część pracy protetycznej, wykonana z materiału idealnie imitującego naturalne dziąsło. Stosujemy ją, gdy Pacjent ma zbyt mało własnej tkanki miękkiej, np. na skutek recesji czy zaniku kości.
Stworzenie pięknej maski dziąsłowej jest trudne. Wymaga bardziej rozbudowanych protokołów leczenia, dużej wiedzy protetyka i wybitnych umiejętności technika dentystycznego. Pozwala jednak perfekcyjnie odtworzyć prawidłowy przebieg linii dziąseł. Bo piękny uśmiech to nie tylko idealnie białe zęby (estetyka biała), ale także zdrowe i proporcjonalne dziąsła (estetyka różowa). Dopiero ich połączenie daje spektakularny efekt leczenia.
Jeśli chcesz rozpoznać wysoką jakość pracy protetycznej, pytaj protetyka o detale. Sprawdź, jak opracowuje przęsło i czy używa biozgodnych materiałów.
Na ostateczny efekt estetyczny i bezpieczeństwo protezy wpływa mnóstwo szczegółów, o których Pacjenci często nawet nie wiedzą. Jednym z nich jest umiejętne ukształtowanie przęsła mostu. To ta część, która zastępuje brakujący ząb i bezpośrednio dotyka dziąseł.
Aby most doskonale kamuflował braki, jego przęsło musi mieć owalny, gładko przechodzący w dziąsło kształt — tak, by nie było widać, że pod spodem nie ma naturalnego zęba.
Dodatkowo, w miejscu styku odbudowy z dziąsłem Pacjenta, materiał protezy musi być biozgodny, czyli dobrze tolerowany przez organizm. Dlatego tam, gdzie przęsło mostu styka się z tkanką, używamy tylko czystego tlenku cyrkonu. Celowo nie pokrywamy go ceramiką.
Polerujemy jego powierzchnię na błysk! Dzięki temu komórki tkanki miękkiej Pacjenta (fibroblasty) mogą do niego swobodnie przylegać, traktując go niemal jak własną tkankę. Dziąsło Pacjenta „przykleja się” do tego biozgodnego materiału, traktując go jak część siebie. W ten sposób minimalizujemy ryzyko powikłań i alergii.
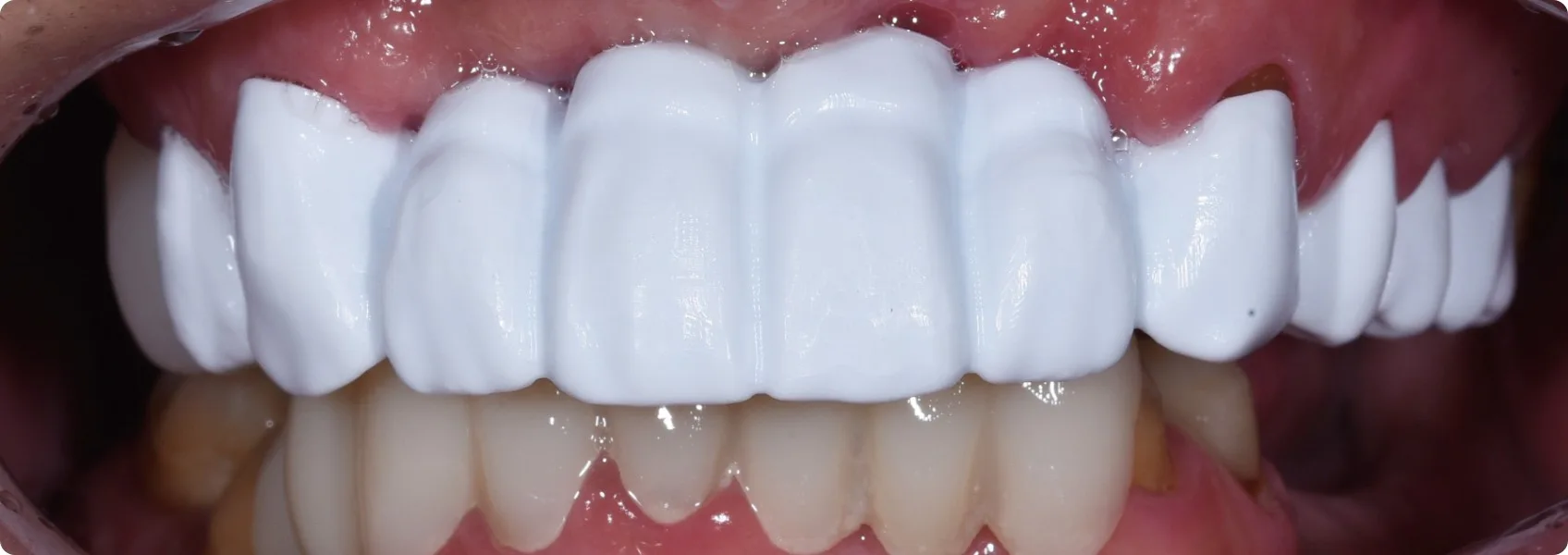
Patrząc na nowy uśmiech Pacjenta, trudno uwierzyć, jak daleką drogę przeszedł. Trudno też uwierzyć, że to nie jego własne, naturalne zęby.
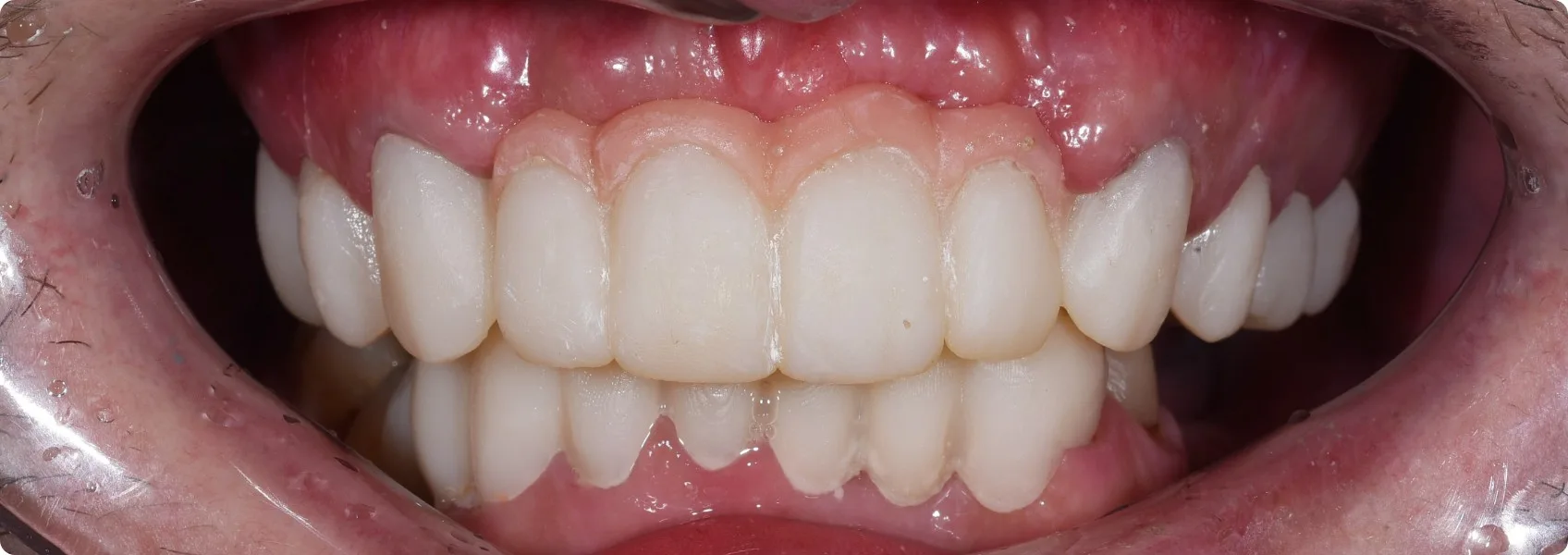
Po wielu miesiącach precyzyjnej pracy, nadszedł ten wyczekiwany moment — oddaliśmy finalny górny most. Mimo że na dolnych zębach Pacjent nosi jeszcze prowizorium, efekt jest absolutnie zachwycający!
Ta odbudowa to dla nas prawdziwe dzieło sztuki. Idealnie odtworzona struktura zębów, sposób, w jaki naturalnie odbijają światło, naturalnie wyglądające dziąsło — każdy najdrobniejszy niuans jest dopracowany tak, by wiernie oddać piękno naturalnego, zdrowego szkliwa.
Dla tego Pacjenta to prawdziwa życiowa rewolucja. Nowe, pełne zęby to nie tylko odzyskanie pięknego uśmiechu i pewności siebie, ale przede wszystkim powrót do normalności — swobodnego jedzenia, wyraźnego mówienia i życia bez ciągłego bólu.

