To historia młodego Pacjenta, dla którego uśmiech stał się przyczyną ogromnych kompleksów. Powodem była dysplazja ektodermalna – rzadka choroba genetyczna.
Dysplazja ektodermalna charakteryzuje się nieprawidłowym rozwojem tzw. tkanek pochodzenia ektodermalnego. Do tych tkanek należą między innymi skóra, włosy, paznokcie, gruczoły potowe, ale także i zęby.
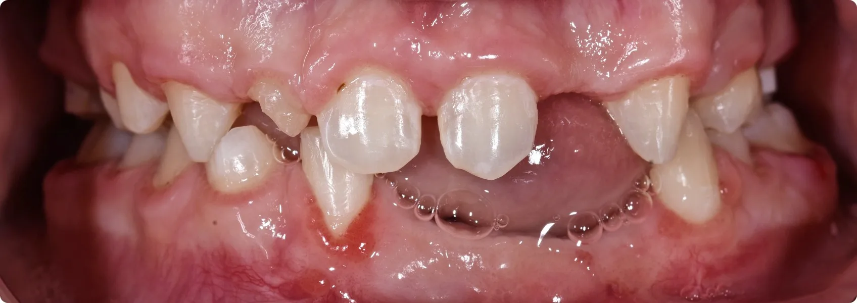
W wyniku dysplazji ektodermalnej zęby Pacjenta nie wykształciły się prawidłowo: były niewielkie, niektóre o stożkowatym kształcie, występowały między nimi liczne przerwy.
Leczenie dysplazji ektodermalnej w kontekście stomatologicznym jest zawsze bardzo złożone i wieloetapowe. Każdy przypadek jest inny. Nie ma jednego „lekarstwa” na tę samą chorobę u różnych Pacjentów.
Dzięki współczesnej stomatologii potrafimy jednak skutecznie zrekonstruować to, czego natura nie wykształciła prawidłowo.
Kluczowa jest tu współpraca specjalistów z różnych dziedzin stomatologii: protetyki, chirurgii, implantologii. Walczymy o przywrócenie nie tylko estetyki, ale przede wszystkim funkcji — możliwości normalnego gryzienia, żucia i mówienia. Przywracamy także pewność siebie i możliwość swobodnego uśmiechania się. Dla naszego młodego Pacjenta ten stan był źródłem dużych utrudnień w codziennym życiu.
Dr n. med. Ewa Chomik, nasz lekarz prowadzący i ekspert od najbardziej skomplikowanych przypadków protetycznych, wiedziała, że konieczna będzie pełna rehabilitacja uzębienia. To oznaczało, że cały zgryz Pacjenta musimy zaprojektować praktycznie zupełnie od zera. To było wyjątkowo trudne leczenie!
Jednym z pierwszych etapów w tak złożonym leczeniu jest wax-up. To model przyszłego uśmiechu Pacjenta, wykonany przez technika dentystycznego na podstawie precyzyjnych wytycznych od protetyka.
Na gipsowym modelu odzwierciedlającym sytuację w ustach Pacjenta, technik z niezwykłą starannością modeluje z wosku przyszłe zęby – ich kształt, wielkość, ustawienie. To jak praca rzeźbiarza!
W niektórych gabinetach protetycy pomijają etap wax-upu. My nigdy. Dzięki wax-upowi zarówno my, jak i Pacjent, możemy zobaczyć i ocenić planowaną odbudowę, zanim jeszcze podejmiemy jakiekolwiek nieodwracalne kroki w jamie ustnej. Leczenie jest bezpieczniejsze i wszyscy wiemy, jak się zakończy. Jeśli protetyk nie robi wax-upu, rezultat pracy jest zaskoczeniem… nie zawsze pozytywnym.
Bez wax-upu nie możemy zrobić próby nowych zębów. Pacjent nie ma szansy zobaczyć się w lustrze z taką przymiarką protezy, nie ma jak zgłosić swoich uwag co do jej wygody czy kształtu.
W przypadku naszego Pacjenta, efekt, który udało nam się osiągnąć już na etapie tego woskowego modelu, przerósł jego najśmielsze oczekiwania. To dało mu ogromną nadzieję i motywację do dalszego leczenia.
Leczenie było wieloetapowe. Pacjent wymagał zadbania nie tylko o zęby, ale także o tkanki miękkie. Konieczny okazał się przeszczep dziąsła.
Najpierw doktor Ewa wykonała gingiwoplastykę. To drobny, szybki zabieg korekty linii dziąseł. Usunęła niewielkie fragmenty dziąsła, aby nadać girlandzie dziąsłowej harmonijny kształt. Dzięki temu widoczna w uśmiechu część zęba wydłużyła się.
Następnie wysłaliśmy Pacjenta na konsultację chirurgiczną. Nasz chirurg szczękowo-twarzowy, dr n. med. Piotr Chomik, usunął przetrwałe zęby mleczne, które nie wypadły we właściwym czasie. Dziąsła Pacjenta nie miały jednak prawidłowej objętości i konturu.
Aby to naprawić, doktor Piotr wykonał przeszczepy nabłonkowo-łącznotkankowe. Chirurg pobrał niewielkie fragmenty tkanki z podniebienia Pacjenta i precyzyjnie przeszczepił je w miejsca, gdzie dziąsła było za mało. Dzięki tym zaawansowanym zabiegom chirurgicznym uzyskaliśmy piękną, zdrową i estetycznie ukształtowaną linię dziąseł — idealne tło dla przyszłych zębów.
Kiedy Pacjent wrócił do gabinetu protetycznego, doktor Ewa oszlifowała te zęby stałe, które miały posłużyć jako filary pod przyszłą pracę protetyczną. Oszlifowanie (preparacja) jest konieczne, aby zamocować protezę na zębach własnych.
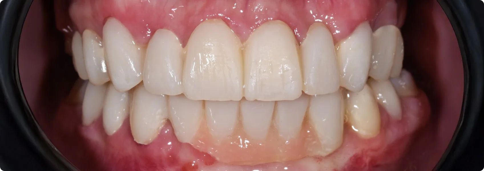
Po zabiegach chirurgicznych i oszlifowaniu Pacjent nie pozostaje bez zębów. Na czas gojenia i przygotowywania przez laboratorium pracy ostatecznej zakładamy prowizorium, czyli uzupełnienie tymczasowe.
To szalenie istotny krok! Po pierwsze, chroni przygotowane zęby i miejsca po zabiegach. Po drugie, od razu przywraca Pacjentowi możliwość całkiem normalnego funkcjonowania.
Po trzecie, w NDC prowizorium wykonujemy na podstawie wcześniejszego wax-upu, przez co jego kształt jest już bardzo zbliżony do finalnej pracy. Dzięki temu Pacjent ma tygodnie, a czasem i miesiące, by oswoić się w domu z nowym kształtem zębów, nowym zgryzem i ocenić wstępną estetykę.
Dla nas to również cenny etap diagnostyczny – możemy obserwować, jak Pacjent adaptuje się do zmian i bez dodatkowych kosztów wprowadzić poprawki, jeśli są potrzebne.
W NDC bardzo szanujemy każdy naturalny ząb. Nie usuwamy tkanek własnych, jeśli nie jest to konieczne. Część zębów Pacjenta wykorzystaliśmy jako solidne filary dla ostatecznej odbudowy protetycznej.
W odcinku przednim żuchwy (dolnej szczęki) braki zębowe były jednak zbyt rozległe, by oprzeć pracę tylko na własnych zębach. W tej sytuacji doktor Piotr zdecydował o wszczepieniu trzech implantów.
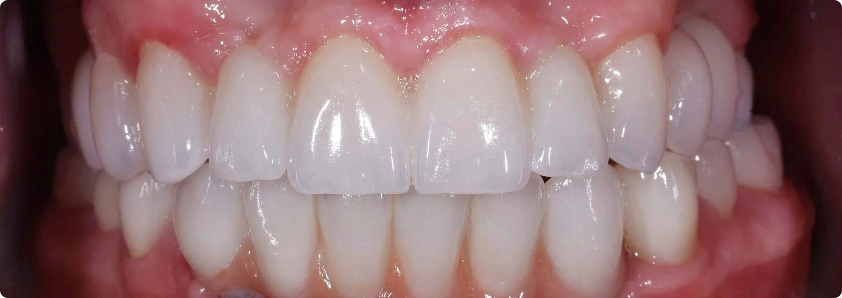
Te małe, tytanowe wszczepy, pełnią funkcję sztucznych korzeni. Zapewniają najwyższą możliwą stabilizację i bezpieczeństwo dla przyszłej pracy protetycznej w tej okolicy. Ostateczna rekonstrukcja to precyzyjnie zaprojektowane i wykonane przez techników dentystycznych uzupełnienie, które idealnie połączyło wsparcie na implantach ze wsparciem na naturalnych zębach.
To leczenie jest demonstracją siły interdyscyplinarnego podejścia. Współpraca dwóch świetnych specjalistów — protetyka i chirurga — pozwoliła odbudować naturalny uśmiech.
Doktor Ewa krok po kroku, zaplanowała i zrealizowała finalną, kompleksową odbudowę protetyczną opartą zarówno na wszczepionych przez doktora Piotra implantach, jak i na starannie przygotowanych zębach własnych Pacjenta.
Ten przypadek dowodzi, że nawet w najtrudniejszych, uwarunkowanych genetycznie sytuacjach, dzięki bezkompromisowemu planowaniu, współpracy specjalistów i rozbudowanym protokołom leczenia, przywracamy pełną funkcję narządu żucia i naturalne piękno uśmiechu.

