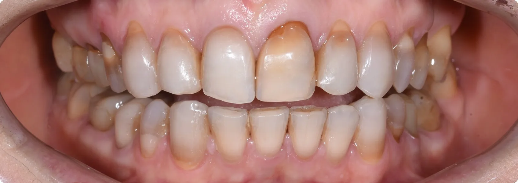
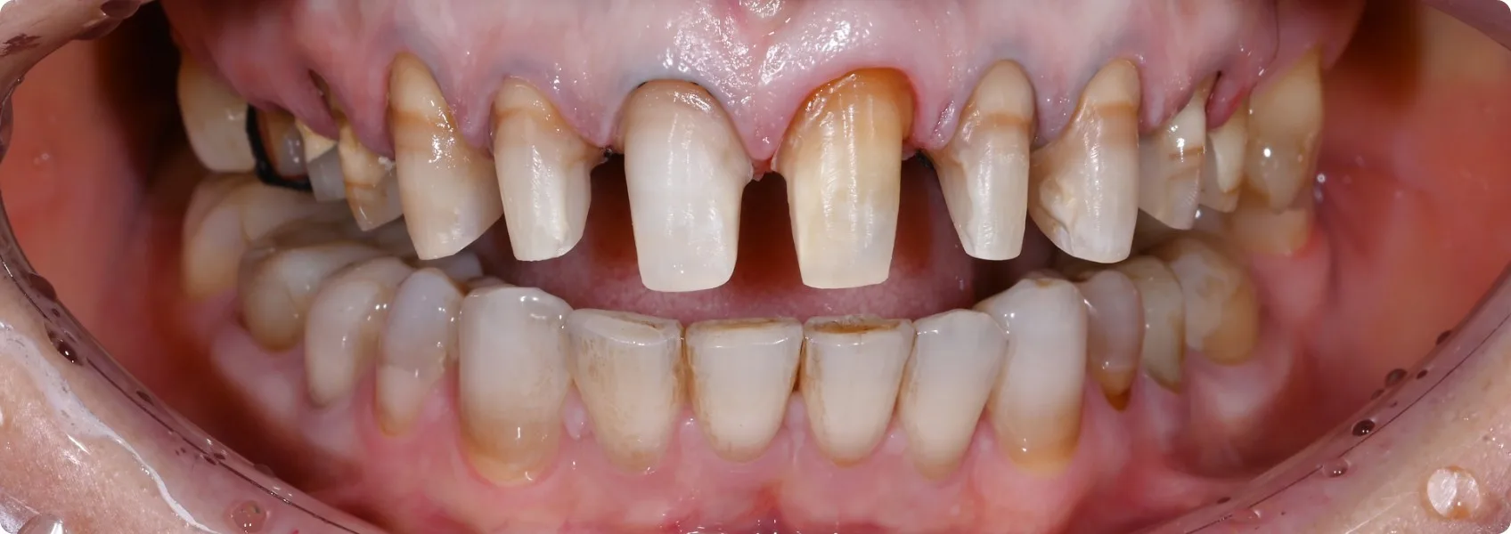
Pacjentka przekroczyła próg Noir Dental Clinic z jasnym przesłaniem: „Mam czas. Nie spieszy mi się. Chciałabym, aby było to zrobione raz i porządnie, bez względu na wszystko”.
Takie podejście, pełne świadomości i zaufania, to dla nas, lekarzy NDC, wymarzony punkt wyjścia do stworzenia czegoś naprawdę wyjątkowego. Choć estetyka była dla Pacjentki ważna, priorytetem okazała się funkcja całego układu żucia. I właśnie na tym fundamencie oparliśmy cały plan leczenia.
Najpierw solidne fundamenty — czyli dlaczego zaczęliśmy od aparatu ortodontycznego.
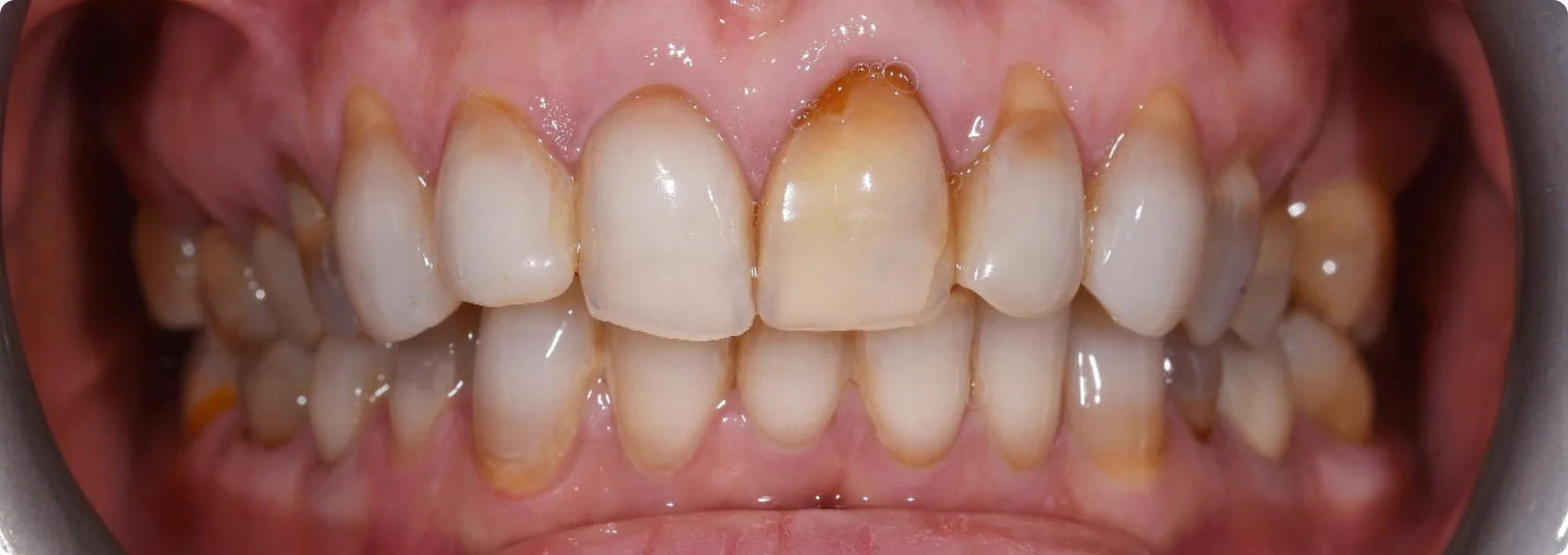
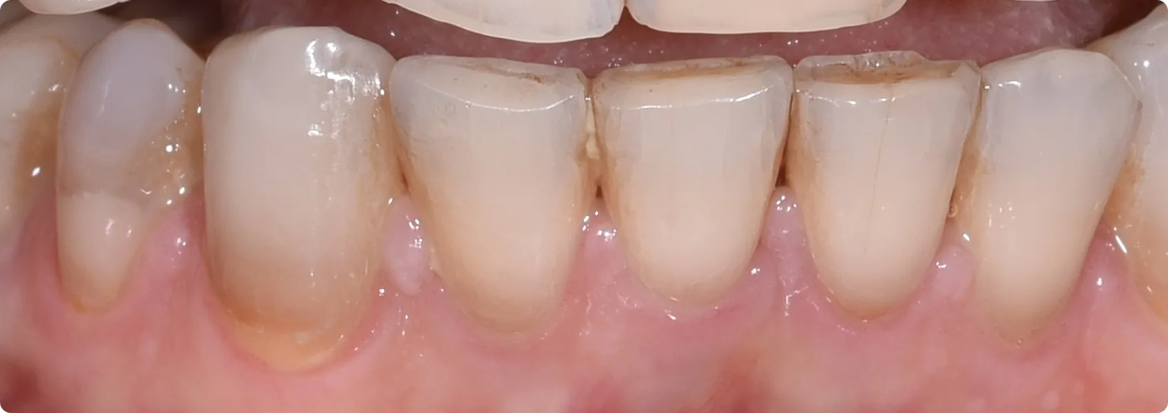
Pierwszym wyzwaniem, z którym zmierzyliśmy się wspólnie z Pacjentką, były drobne nieprawidłowości w ustawieniu zębów oraz ich silne przebarwienie. Zęby były stłoczone, a pole okluzyjne (czyli odległość zębów górnych od dolnych) zbyt wąskie. Wiedzieliśmy, że aby osiągnąć trwały i funkcjonalny efekt, nie możemy iść na skróty.
Dlatego leczenie rozpoczęła dr n. med. Barbara Szkarłat, nasza specjalistka ortodoncji. Przez dwa lata aparat ortodontyczny pracowicie ustawiał zęby w idealnym porządku. Dlaczego to takie ważne?
Prawidłowe uszeregowanie zębów to nie tylko kwestia estetyki. To przede wszystkim gwarancja, że siły żucia będą przenoszone fizjologicznie, czyli w sposób najbardziej naturalny i korzystny dla całego układu. To jak budowanie domu — bez solidnych fundamentów nawet najpiękniejsza konstrukcja nie przetrwa próby czasu.
Po zakończeniu leczenia ortodontycznego i niezbędnym okresie stabilizacji, leczenie przejęła dr n. med. Ewa Chomik, nasza ekspertka od najtrudniejszych przypadków protetycznych.
W Noir Dental Clinic leczenie protetyczne to wieloetapowy, przemyślany proces, który nie jest standardem w wielu gabinetach. Zanim przystąpimy do jakichkolwiek działań w ustach Pacjenta, tworzymy precyzyjny plan.
Zaczynamy od szczegółowych pomiarów twarzy specjalnym narzędziem (tzw. łukiem twarzowym). Następnie, na podstawie wytycznych protetyka, technik dentystyczny przygotowuje wax-up — woskowy model przyszłych zębów. To jak pierwszy, namacalny projekt nowego uśmiechu Pacjenta. Ten etap jest kluczowy, bo pozwala nam zwizualizować efekt, zanim jeszcze oszlifujemy zęby pod protezę.
W międzyczasie dr n. med. Piotr Chomik, nasz specjalista chirurgii szczękowo-twarzowej, zajął się wszczepieniem implantu w miejscu brakującego zęba.
To tytanowa śruba, która zastępuje korzeń zęba, stanowiąc stabilny filar dla przyszłej korony protetycznej. Zdjęcie RTG potwierdziło idealne położenie implantu, gotowego do dalszej pracy.
Przymiarka nowego uśmiechu i bezpieczne szlifowanie — czyli mock-up w akcji.
Kiedy projekt przyszłej pracy jest gotowy i zaakceptowany, na jego podstawie technik tworzy mock-up. To kopia wax-upu w formie nakładki, którą bezinwazyjnie zakładamy na naturalne zęby Pacjenta.
Dopiero gdy mock-up jest w pełni zaakceptowany, przystępujemy do preparacji, czyli oszlifowania zębów pod przyszłe korony protetyczne.
Preparację wykonujemy wyłącznie przez mock-up. Oznacza to, że mock-up służy protetykowi jako precyzyjny szablon. Zakładamy go na zęby i szlifujemy przez jego powierzchnię. Dzięki temu mamy pewność, że usuwamy tylko absolutnie niezbędną ilość tkanek zęba — ani za dużo, ani za mało. Naturalne zęby są dla nas zbyt cenne, by szlifować „na oko”.
Tymczasowe prowizorium — komfort i funkcja w oczekiwaniu na finalną pracę protetyczną.
Po precyzyjnej preparacji, jeszcze na tej samej wizycie, wykonujemy prowizorium, czyli uzupełnienie tymczasowe. W NDC prowizorium przygotowujemy na podstawie zaakceptowanego wcześniej wax-upu.
Dzięki temu jego kształt jest bardzo bliski kształtowi finalnej pracy protetycznej. Pacjentka od razu widzi namiastkę przyszłego efektu, choć estetyka prowizorium nie jest idealna.
Jednak najważniejsze jest to, że prowizorium pozwala normalnie funkcjonować i, co równie ważne, przyzwyczaić się do nowego kształtu i układu zębów. Efekt leczenia nie będzie więc zaskoczeniem, a świadomym potwierdzeniem podjętych wcześniej decyzji.
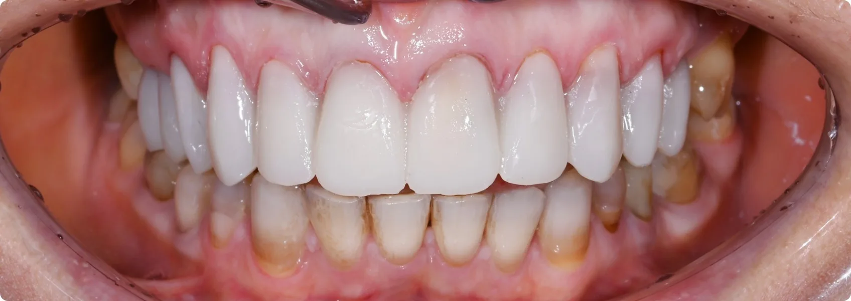
Plan dla łuku górnego zakładał wykonanie koron na podbudowie z tlenku cyrkonu. To materiał niezwykle wytrzymały i biozgodny, co oznacza, że jest doskonale tolerowany przez organizm.
Zdecydowaliśmy się na wykonanie koron protetycznych za pomocą zaawansowanej techniki cut-back.
Dodatkowa kontrola dla perfekcji — przymiarka „nagiej” konstrukcji z tlenku cyrkonu.
W dążeniu do absolutnej perfekcji, czasem sięgamy po dodatkowe etapy kontrolne. W tym przypadku, zanim na podbudowę z tlenku cyrkonu trafiła ostateczna warstwa estetycznej porcelany, wykonaliśmy przymiarkę samej, monolitycznej konstrukcji cyrkonowej z przygotowanym już miejscem na ceramikę (cut-back).
Taka przymiarka pozwala na niezwykle precyzyjne sprawdzenie dopasowania konstrukcji do oszlifowanych zębów i dziąseł. Dzięki temu mamy pewność, że każdy, nawet najmniejszy detal jest absolutnie doskonały, zanim praca zostanie ostatecznie wykończona.
Na czym polega magia techniki cut-back?
Korona z tlenku cyrkonu to solidna, ale mało estetyczna baza. Sama w sobie jest niezwykle mocna, ale brakuje jej tej naturalnej gry świateł i kolorów, która charakteryzuje prawdziwe zęby. Technika cut-back pozwala nam tchnąć w tę bazę życie.
Polega ona na tym, że technik dentystyczny celowo redukuje część cyrkonowej podbudowy od strony licowej (zewnętrznej), tworząc miejsce na napalenie kilku warstw estetycznej porcelany.
To trochę jak praca rzeźbiarza, który najpierw tworzy solidny rdzeń, a następnie precyzyjnie dokłada kolejne warstwy, nadając nowemu zębowi ostateczny, indywidualny kształt i charakter.
Dzięki napaleniu porcelany warstwa po warstwie, technik dentystyczny może odtworzyć wszystkie subtelne niuanse naturalnego zęba.
Mowa tu o przezierności szkliwa (szczególnie na brzegu siecznym), delikatnych przebarwieniach, grze światła i cienia, a także indywidualnej teksturze powierzchni. Naturalne zęby nie są płaskie i jednolite kolorystycznie — mają głębię, a technika cut-back pozwala ją perfekcyjnie odwzorować.
Ta technika pozwala także na naturalny wygląd zębów w każdym oświetleniu.
Porcelana wykonana techniką cut-back zachowuje się bardzo podobnie do naturalnego szkliwa, odbijając i załamując światło w sposób, który sprawia, że rekonstrukcja jest nie do odróżnienia od własnych zębów Pacjenta.
Każdy ząb to indywidualne dzieło sztuki. Jest ręcznie malowany i modelowany przez technika, co pozwala na idealne dopasowanie do sąsiednich zębów oraz całościowej estetyki uśmiechu i twarzy Pacjenta.
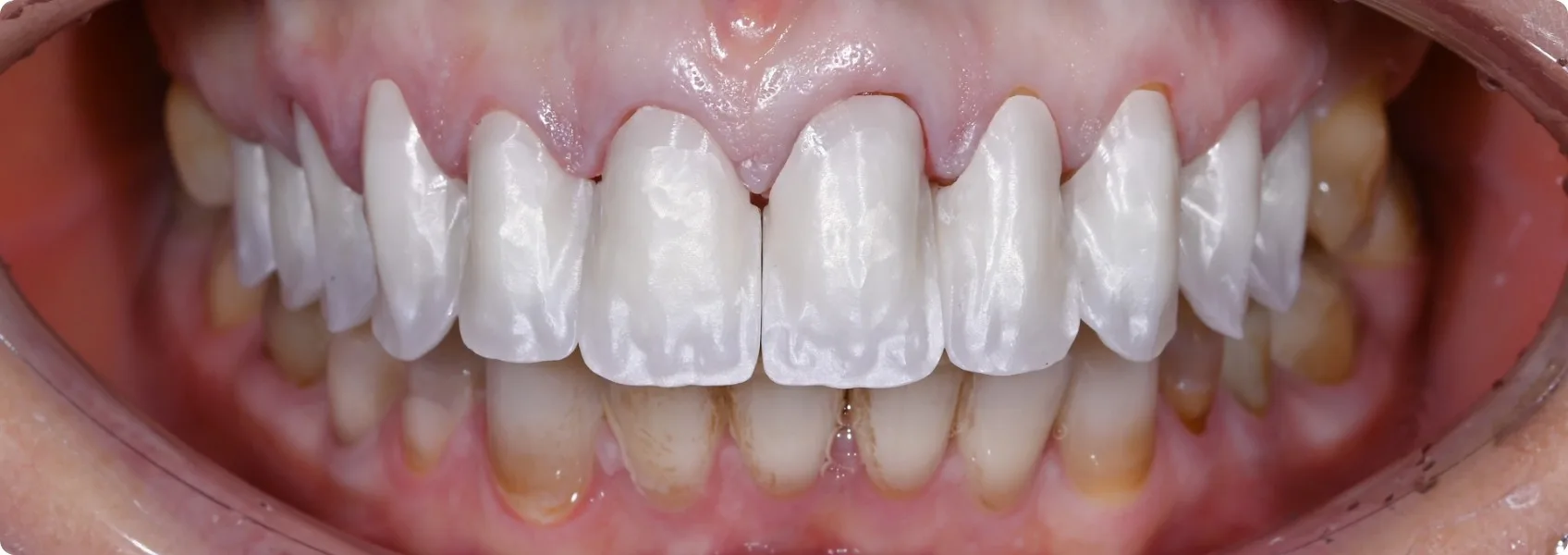
W przypadku Pacjentki, która ceniła naturalny wygląd, technika cut-back była strzałem w dziesiątkę.
Pozwoliła nam połączyć niezwykłą wytrzymałość tlenku cyrkonu z najwyższej klasy estetyką, jaką oferuje indywidualnie napalana ceramika. To właśnie ta mieszanka siły i piękna sprawiła, że uśmiech Pacjentki wygląda zachwycająco naturalnie.
A co z dołem? Funkcjonalność i dyskretna estetyka.
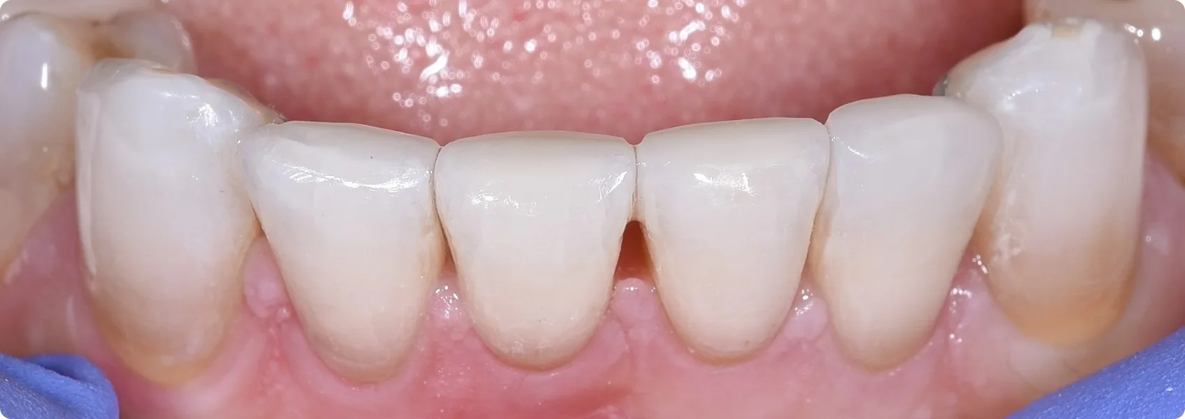
Często pada pytanie: „Piękna góra, a co z dołem?”. W przypadku tej Pacjentki łuk dolny był funkcjonalnie prawidłowy. Zgodnie z naszą filozofią szacunku dla naturalnych tkanek i walki o każdy ząb, który da się uratować, nie zawsze interwencja protetyczna w obu łukach jest konieczna.
Zęby dolne, ze względu na swoje położenie i mniejszy rozmiar, często sprawiają wrażenie nieco ciemniejszych od górnych — znajdują się bowiem w ich cieniu. Jeśli Pacjent nie eksponuje ich znacząco podczas uśmiechu, a zgryz jest prawidłowy, pozostawienie łuku dolnego bez rozległej ingerencji protetycznej jest jak najbardziej uzasadnione.
W tym przypadku zdecydowaliśmy się na bonding — małoinwazyjną i niezwykle precyzyjną metodę odbudowy estetyczno-funkcjonalnej.
To zadanie powierzyliśmy lek. dent. Dominice Przybyłce, naszej mistrzyni kompozytu. Bonding w tym przypadku miał na celu przede wszystkim poprawę funkcji, choć subtelnie dopracował też również estetykę dolnych zębów, tworząc spójną całość z olśniewającą górą.
Cała metamorfoza Pacjentki trwała niespełna trzy lata. To czas, który pozwolił nam, krok po kroku, zrealizować precyzyjny plan, gdzie każdy specjalista odegrał swoją kluczową rolę.
Precyzyjne przygotowanie ortodontyczne stworzyło idealne warunki dla protetyki, jak zaawansowana technika cut-back pozwoliła na odtworzenie natury w najdrobniejszych detalach, i jak świadoma decyzja o funkcjonalnym bondingu łuku dolnego pozwoliła zachować naturalne tkanki.
Efektem jest uśmiech, który jest kwintesencją naszej filozofii — naturalny, funkcjonalny i po prostu piękny.
Różnica w estetyce łuków, widoczna jedynie na specjalistycznych zdjęciach, w codziennym życiu jest niezauważalna, ustępując miejsca harmonii i naturalności.

