Powrót

Proteza z dziąsłem vs bez dziąsła

Diagnoza
Źle wykonana proteza w innej klinice — sztuczny wygląd, nieestetyczny kolor, zbyt długie zęby
Wyzwanie
Pacjentka przyszło z implantami wszczepionymi w złych miejscach, miała uraz do lekarzy po wcześniejszych doświadczeniach
Wdrożone leczenie
Most protetyczny
Czas leczenia
3 miesiące
Lekarz prowadzący
dr n. med. Ewa Chomik

Pacjentka zgłosiła się do nas po wcześniejszym leczeniu protetycznym w innej klinice. Była głęboko rozczarowana efektem — estetycznym i funkcjonalnym.

Na konsultacji dr n. med. Ewa Chomik obejrzała nieprawidłowo wykonaną pracę protetyczną w łuku górnym. Most protetyczny, z którym przyszła Pacjentka, wyglądał sztucznie.

Miał nieestetyczny kolor, zęby były nadmiernie wydłużone, a w miejscu łączenia protezy odkładały się resztki pokarmowe. Tak wykonana praca utrudniała zachowanie dobrej higieny.

Na domiar złego w zakamarkach przy dziąśle prześwitywał ciemny kolor śruby implantologicznej. Nie dziwiło nas, że praca nie spełnia oczekiwań Pacjentki.

Bywa, że lekarze odradzają odbudowę dziąseł, argumentując, że efekt będzie nienaturalny. Mimo zachowania naturalnego dziąsła, sztuczność zębów jest jednak oczywista.

Po wcześniejszych doświadczeniach Pacjentka była sceptycznie nastawiona do lekarzy. Wyzwaniem stało się przywrócenie nie tylko pięknego, naturalnego uśmiechu, ale i wiary w to, że protetyka może być sztuką.

Doktor Ewa zaplanowała rekonstrukcję zębów i brakującej estetyki dziąseł.

Prawda jest taka, że jeśli dziąsła jest za mało, bez jego odbudowy nie da się stworzyć naturalnego uśmiechu.

Protetyka dziąsłowa nie jest jednak łatwa. Trwa dłużej, ponieważ wymaga bardziej rozbudowanych protokołów leczenia, więcej wiedzy, lepszego planowania. Jest też trudniej dostępna, ponieważ potrzeba mistrzowskich umiejętności technika dentystycznego. Prawidłowe odwzorowanie koloru, tekstury i przezierności tkanek miękkich jest dużym wyzwaniem technicznym.

To dlatego niektórzy lekarze nie wykonują takich protez lub nawet zniechęcają Pacjentów do sztucznych dziąseł. W NDC uwielbiamy jednak estetykę różową! 🖤

Bez odpowiedniej girlandy dziąsłowej nawet najdoskonalsze korony wyglądają sztucznie. Mamy na pokładzie genialnych specjalistów, pracujemy z wybitnymi technikami. Dzięki temu potrafimy prowadzić nawet najtrudniejsze przypadki.

Implanty, z którymi przyszła Pacjentka, nie były wszczepione w optymalnych miejscach.

Na odcinku zaledwie 6 zębów znajdowały się 4 implanty — przez to miejsca na stworzenie naturalnie wyglądającego mostu protetycznego było mało.

Implanty były już jednak osadzone, więc doktor Ewa nie mogła zmienić ich pozycji i musiała pracować z istniejącą sytuacją. Na początek pozbyła się nieestetycznej pracy protetycznej. Następnie zamówiła indywidualne łączniki, które pozwoliły na optymalne ustawienie przyszłych koron.

Planujemy leczenie. Pacjentka już w pierwszych etapach widzi w lustrze, jaki kształt będzie miała finalna odbudowa.

Dbamy o to, by leczenie było bezpieczne i przewidywalne. Dlatego nie chodzimy na skróty, pracujemy według rozbudowanych protokołów i nie pomijamy etapów planowania.

Dzięki temu zanim wykonamy jakiekolwiek nieodwracalny zabieg, Pacjent może w gabinecie założyć przymiarkę nowego uśmiechu (mock-up), a pomiędzy zabiegami nosić uzupełnienie tymczasowe (prowizorium). W przeciwieństwie do standardowych prowizoriów, nasze kształtem odpowiada kształtowi przyszłej pracy.

Dzięki tym etapom Pacjent wie, jaki będzie rezultat leczenia. Może zgłosić swoje uwagi co do kształtu, rozmieszczenia czy koloru zębów. Finalna proteza będzie dużo estetyczniejsza, ale już na wstępie jej kształt jest całkowicie przewidywalny.

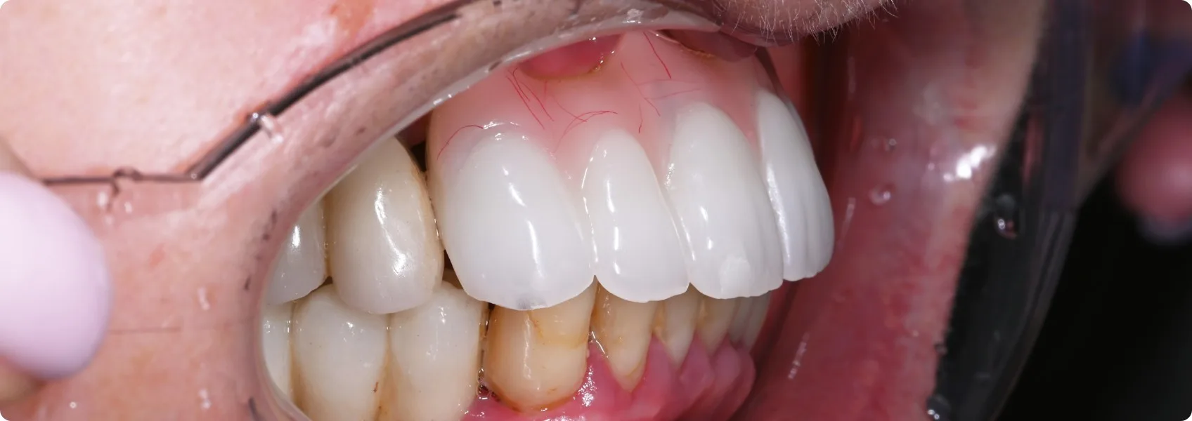
Finalna praca pokazuje, że oświadczony protetyk w parze z dobrym technikiem potrafią zbudować dziąsła, które wyglądają jak prawdziwe.

Współpraca z laboratorium protetycznym Chomko Project Lab była kluczowa dla osiągnięcia naturalnego efektu. Ci technicy specjalizują się w tworzeniu wyjątkowo realistycznych prac protetycznych. Na najwyższym poziomie odwzorowują naturalne niuanse koloru, tekstury oraz przezierności zębów i dziąseł.

Dla naszej Pacjentki wykonali pracę pełnoceramiczną z tlenku cyrkonu, osadzoną na 4 łącznikach indywidualnych. Szczególną uwagę poświęcili odbudowie szczegółów dziąseł.

Efekt zachwyca — zęby i dziąsła wyglądają naturalnie, harmonijnie, pasują do rysów twarzy.

Zęby wreszcie są ustawione pod prawidłowym kątem, są jasne, dobrego kształtu i długości. Dzięki świetnej pracy techników ciężko rozpoznać, że część dziąseł jest sztuczna. Ich kolor płynnie przechodzi w naturalną tkankę. Nie widać prześwitującego metalu ani nieszczelnych połączeń.

Wierzymy, że dobra protetyka to nie kompromis — i że da się odtworzyć naturę w sposób tak subtelny, że granica między rekonstrukcją a prawdziwymi tkankami staje się niewidoczna.

Ewa Chomik

dr n. med.
specjalista protetyki

To od niej wszystko się zaczęło. Zawsze kulturalna, zawsze elegancka i poukładana. Tytan pracy.

Umów się na wizytę

Skontaktuj się z nami lub umów wizytę online.

+ 48 505 505 549
rejestracja@noirdentalclinic.pl
Zarezerwuj wizytę online →