Pacjentka z obustronnym rozszczepem wargi i kości wyrostka zębodołowego usłyszała w innej klinice, że musi usunąć zęby, ponieważ nie nadają się do wykonania nowej, trwałej rekonstrukcji.
Proponowany plan leczenia i wizja wyrwania zębów stresowała Pacjentkę. Poszukując dodatkowej opinii lekarskiej, trafiła do dr n. med. Ewy Chomik — naszej specjalistki od najtrudniejszych protetycznych wyzwań.
Dlaczego przy wrodzonych wadach kości każdy naturalny ząb jest na wagę złota?
W Noir Dental Clinic pracujemy z ogromnym poszanowaniem dla zębów i tkanek. U Pacjentów z wadą rozwojową twarzoczaszki, jaką jest rozszczep (tzw. split), zachowanie każdego własnego zęba powinno być priorytetem lekarza!
Utrata choćby jednego zęba filarowego nieuchronnie prowadzi do utraty cennej kości, co w sytuacji jej już istniejącego deficytu, pogłębia problem i znacząco komplikuje jakiekolwiek przyszłe leczenie. Dlatego pierwszym i najważniejszym zadaniem dla doktor Ewy była wnikliwa ocena stanu zębów Pacjentki.
Po dokładnej analizie klinicznej i radiologicznej zapadła decyzja — walczymy, nie usuwamy!
Zęby, które wcześniej skazano na niepowodzenie wykorzystaliśmy jako solidne filary dla nowej, precyzyjnie zaplanowanej pracy.
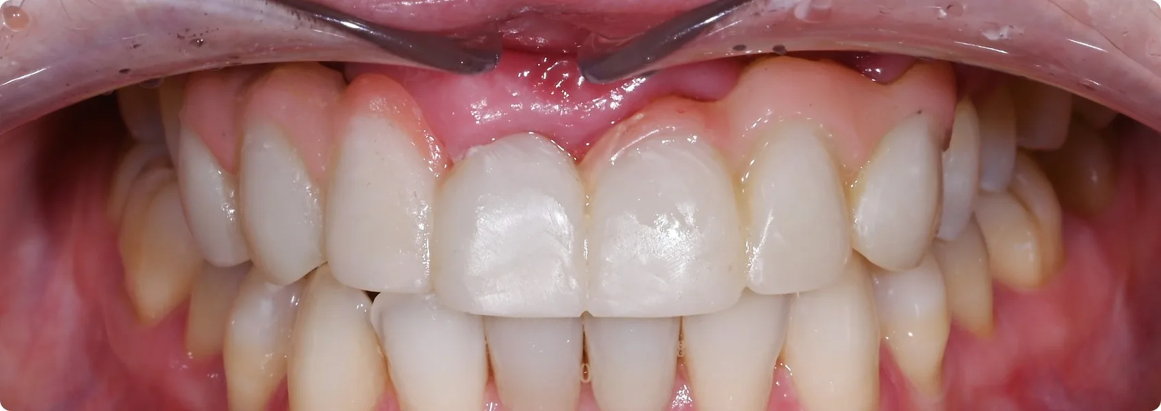
Pacjentka przyszła do nas z mostem tymczasowym wykonanym w innej klinice, osadzonym na jej własnych zębach (od górnej prawej czwórki do górnej lewej trójki). Praca była jednak nieszczelna, a jej estetyka pozostawiała wiele do życzenia — każdy ząb był innej wielkości i innego kształtu. Uśmiechowi brakowało symetrii.
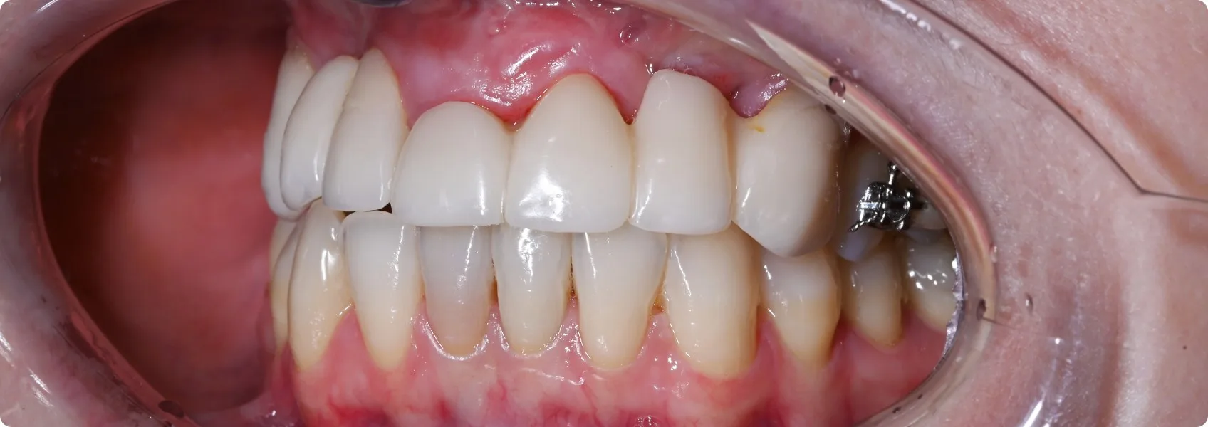
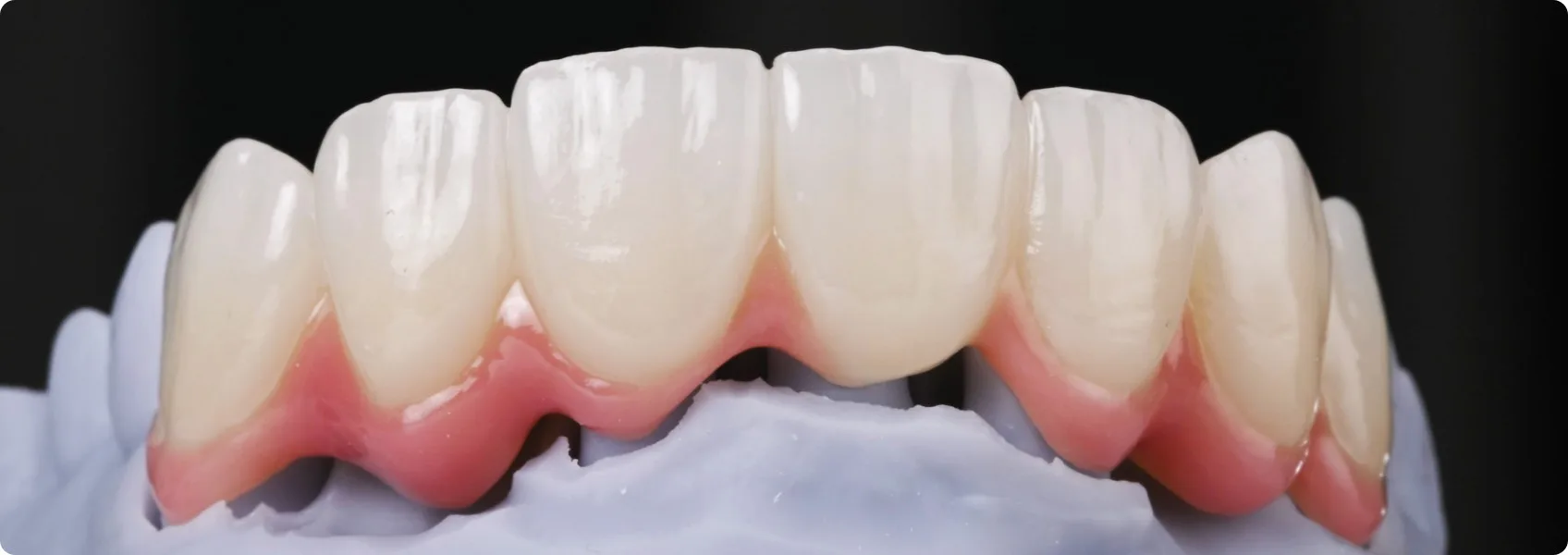
Plan był ambitny: stworzyć 7-punktowy most z tlenku cyrkonu, który nie tylko odtworzy brakujące zęby w miejscu rozszczepu, ale także zadba o estetykę dziąseł i zapewni idealne podparcie dla tkanek miękkich.
Kluczem do sukcesu okazało się zastosowanie tzw. maski dziąsłowej.
Maska dziąsłowa to precyzyjnie wymodelowana, indywidualnie dopasowana część mostu, wykonana z różowej ceramiki, która imituje naturalne dziąsło. W przypadku Pacjentki z rozszczepem, gdzie często występują nierówności i zaniki dziąseł, takie rozwiązanie jest nieocenione.
Maska dziąsłowa ukrywa brak naturalnego dziąsła.
Naturalnie wyglądające dziąsła (estetyka różowa) są równie ważne dla pięknego uśmiechu co idealnie ukształtowane zęby (estetyka biała). Zapewnia także podparcie dla tkanek miękkich i uszczelnia most.
Dzięki niej pod mostem nie gromadzą się resztki pokarmowe, co jest kluczowe dla minimalizowania ryzyka powikłań.
Zanim jednak przystąpiliśmy do wykonania ostatecznego mostu z tlenku cyrkonu, kluczowym etapem było zapewnienie Pacjentce funkcjonalnego i estetycznego rozwiązania tymczasowego, czyli prowizorium.
Pamiętajmy, że zgłosiła się do nas z nieszczelnym i nieestetycznym mostem akrylowym. W NDC etap pracy tymczasowej traktujemy niezwykle poważnie. To nie jest tylko „przeczekanie”.
Prowizorium nie tylko zabezpiecza zęby filarowe po ich opracowaniu i pozwala dziąsłom i tkankom miękkim na adaptację do nowego kształtu.
Jest też niezwykle cennym prototypem przyszłej pracy, który Pacjent może przymierzyć i przez następne tygodnie sprawdzać jego wygodę noszenia. Dobrze zrobione prowizorium wymaga od lekarza zaawansowanych protokołów leczenia, ale ma jedną ogromną zaletę — ma niemal ten sam kształt co praca ostateczna.
W wielu gabinetach protetycy chodzą na skróty: pomijają etapy tzw. wax-upu i mock-upu, przez co prowizorium wygląda inaczej od finalnej protezy.
W takim przypadku zarówno Pacjent, jak i lekarz nie wiedzą, jaki będzie dokładny rezultat leczenia, Pacjent nie ma jak zgłosić uwag do pracy ani przymierzyć realnego nowego uśmiechu przed oddaniem.
W NDC stawiamy na przewidywalność. Dzięki zastosowaniu wieloetapowych protokołów leczenia Pacjenci znają planowany efekt, jeszcze zanim oszlifujemy zęby.
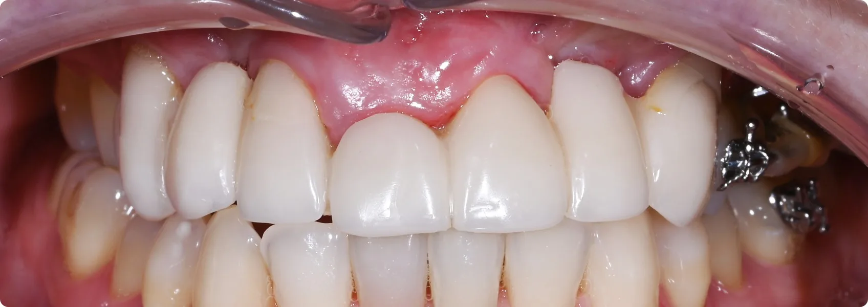
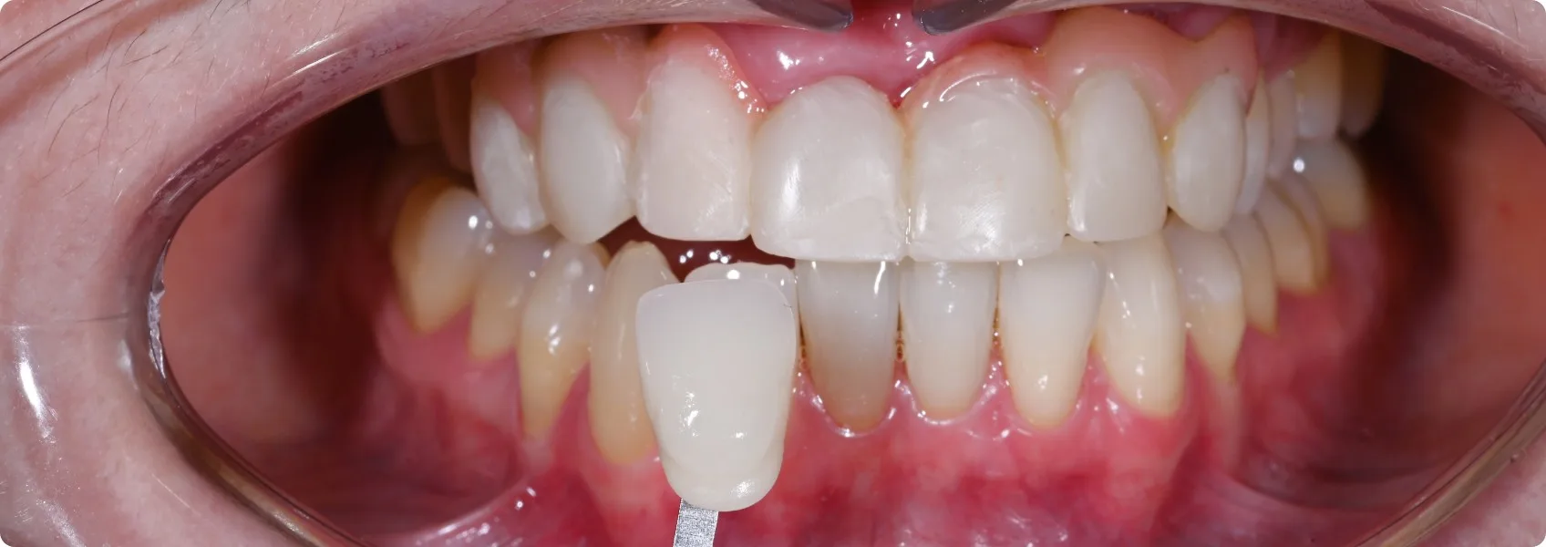
Po założeniu prowizorium przygotowaliśmy komplet zdjęć fotograficznych dla technika dentystycznego — między innymi ze wzornikiem kolorystycznym. W tym przypadku dobraliśmy kolor dla przyszłych koron o nazwie A2.
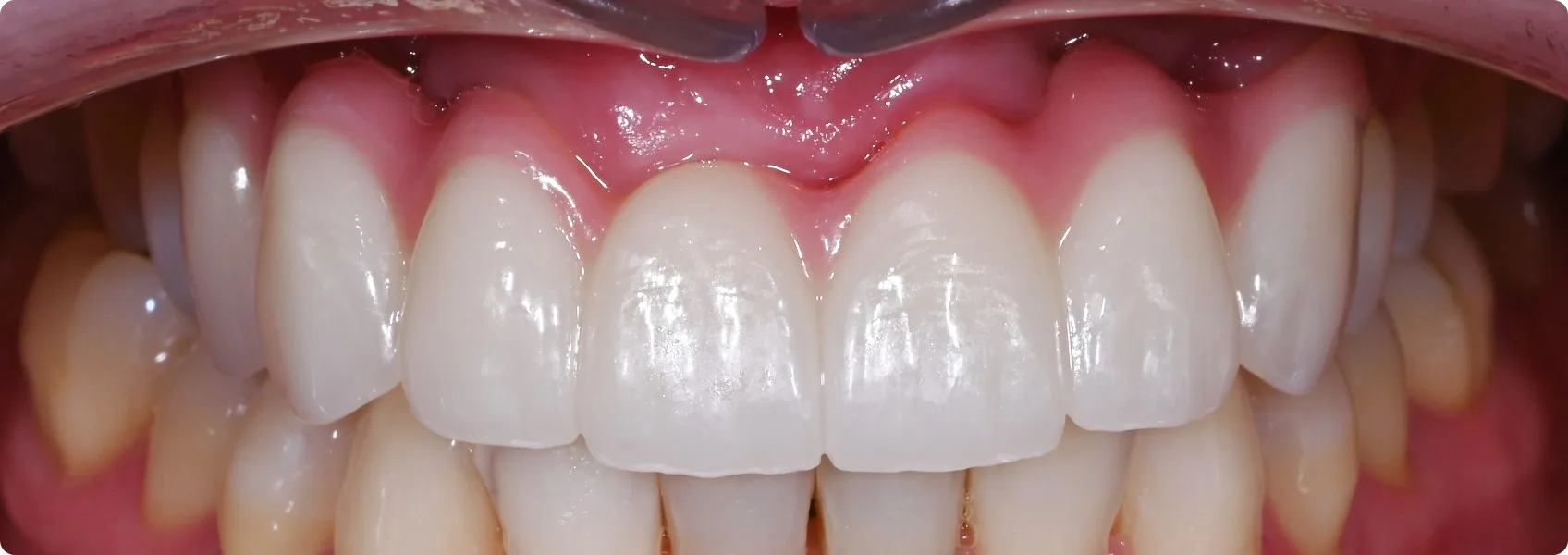
Wierzymy, że najlepsze rekonstrukcje to te, których nikt nie zauważy, a Pacjent zapomina, że je ma.
Dlatego tak duży nacisk położyliśmy na idealną szczelność mostu, zwłaszcza w obszarze przęsła, czyli fragmentu opartego na dziąśle, przypadającego na szczelinę rozszczepu. Dzięki temu jedzenie nie utyka w szczelinach, a Pacjentka odzyskała komfort podczas jedzenia i mówienia. A przy okazji piękny uśmiech.
Całe leczenie, od pierwszej konsultacji po osadzenie finalnego mostu, trwało zaledwie 3 miesiące.
To dowód na to, że nawet w bardzo skomplikowanych przypadkach możemy osiągnąć spektakularne rezultaty w stosunkowo krótkim czasie.
Metamorfoza przywróciła pewność siebie, komfort i radość z uśmiechu młodej, ślicznej dziewczynie, która wiele przeszła. To kwintesencja filozofii Noir Dental Clinic — stomatologii kulturalnej, działającej z poszanowaniem dla Pacjenta, jego tkanek i jego historii.

