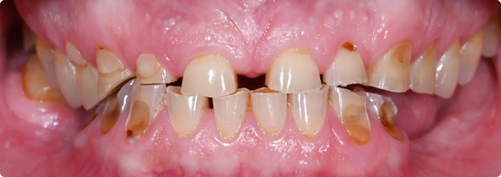
Pacjent trafił do nas z mocno zaburzonym zgryzem — i bólem.
Zęby były nie tylko bardzo mocno starte, ale brakowało też wielu z nich w dolnym łuku. Relacja między górnymi a dolnymi zębami była tak zaburzona, że Pacjent de facto nie posiadał prawidłowego zgryzu!
To rodziło codzienne trudności: problemy z gryzieniem, żuciem, a nawet mówieniem. Dodatkowo potęgował się ból w stawie skroniowo-żuchwowym. Lek. dent. Adrian Złotogórski zakwalifikował Pacjenta do pełnej rekonstrukcji zgryzu. To była jedyna droga do odzyskania komfortu i funkcji.
Zanim mogliśmy myśleć o odbudowie, musieliśmy dokładnie zbadać każdy ząb i przygotować solidne podstawy pod przyszłą pracę protetyczną.
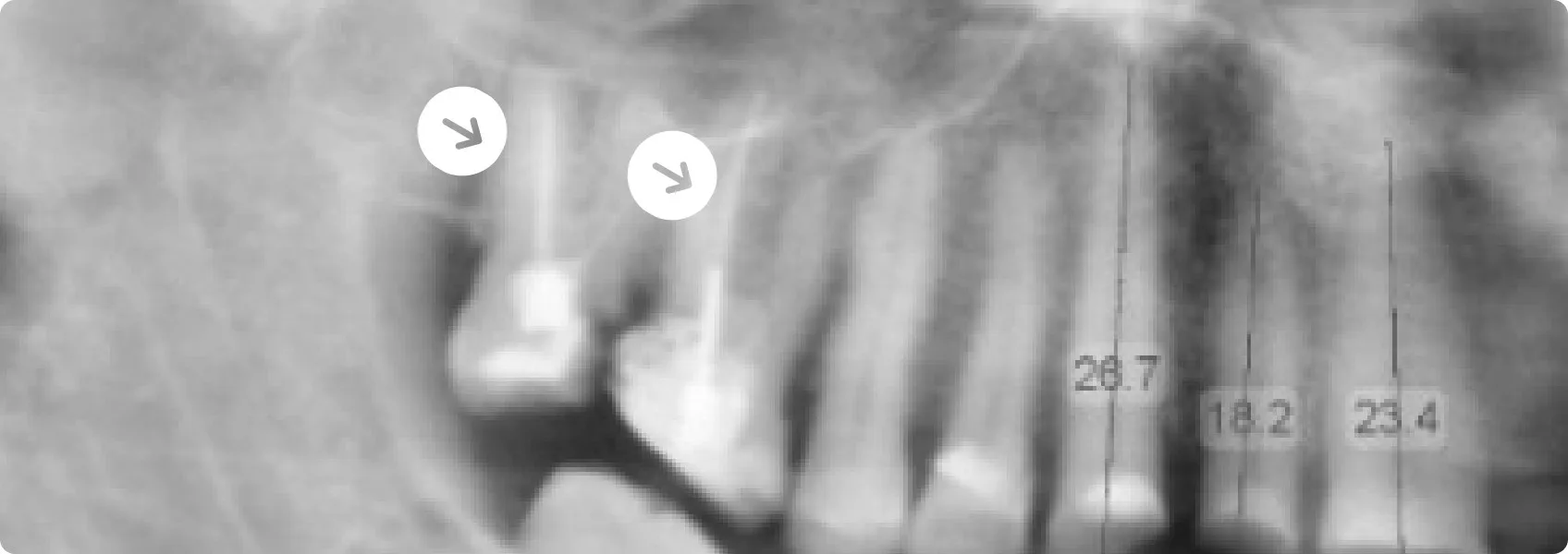
Najpierw dokładnie przeanalizowaliśmy i przygotowaliśmy fundamenty pod rekonstukcję. Zaczęliśmy od diagnostyki i analizy zdjęć RTG.
RTG pozwala zajrzeć „pod powierzchnię” – zobaczyć korzenie zębów, kość wyrostka zębodołowego, stan tkanek wokół korzeni, a także wewnętrzną budowę zębów (np. komorę miazgi, kanały korzeniowe).
Dzięki RTG możemy znaleźć stany zapalne, niewidoczne gołym okiem. Bez niego nie mielibyśmy jak wykryć problemów, które mogłyby prowadzić do poważnych powikłań.
RTG pokazało, że filary zębów własnych Pacjenta — te, na których miała opierać się przyszła rekonstrukcja — były zbyt krótkie.
Filary zębów to naturalne zęby, które po odpowiednim przygotowaniu (najczęściej oszlifowaniu) posłużą jako podpora dla stałych uzupełnień protetycznych. Zbyt krótkie zęby to poważne wyzwanie i ryzyko dla przyszłej odbudowy. Takie filary nie dają gwarancji, że korony czy mosty będą stabilnie i trwale osadzone.
Musieliśmy wzmocnić zęby własne. Doktor Adrian skierował Pacjenta do endodonty — lek. dent. Katarzyna Morozik. Doktor Katarzyna umieściła w korzeniach zębów specjalne wkłady koronowo-korzeniowymi oraz dodatkowo włókno szklane. W ten sposób zminimalizowaliśmy ryzyko złamania korzeni.
Dopiero na tak przygotowanych, wzmocnionych filarach mogliśmy bezpiecznie zaplanować odbudowę protetyczną.
W NDC kochamy naturę — walczymy o każdy ząb własny Pacjenta. Nie każdy ząb da się jednak uratować.
Podczas analizy zdjęć RTG stało się jasne, że jeden z zębów Pacjenta musi zostać usunięty. Ściana zęba była zbyt cienka, a zniszczenie sięgało poziomu kości.
Cienka ściana oznacza, że pozostało bardzo mało zdrowej tkanki zęba, która mogłaby wytrzymać siły działające podczas żucia. Taki ząb jest ekstremalnie podatny na pęknięcie lub całkowite złamanie, często w sposób uniemożliwiający jakąkolwiek dalszą odbudowę.
Utrzymanie go wiązałoby się ze zbyt dużym ryzykiem powikłań i awarii pracy. Podjęliśmy trudną, ale konieczną decyzję o ekstrakcji.
Diagnostyka RTG ujawniła kolejny problem. Przy korzeniach zębów, które Pacjent leczył wcześniej kanałowo w innym gabinecie, znaleźliśmy stany zapalne.
Był to sygnał, że wewnątrz tych zębów organizm walczy z infekcją, która nawróciła po pierwotnym leczeniu kanałowym
System kanałowy zęba jest często bardzo skomplikowany. Ma boczne odgałęzienia, cieśnie, przewężenia. Jeśli podczas pierwotnego leczenia endodonta nie usunie wszystkich bakterii i martwej tkanki miazgi z tych zakamarków, stan zapalny może nawrócić.
Dlatego tak ważna jest precyzja i sterylność podczas leczenia kanałowego! Jeśli endodonta nie używa mikroskopu, koferdamu i wysokiej jakości narzędzi — ryzyko powikłań jest znacznie wyższe.
Konieczne było ponowne leczenie endodontyczne — reendodoncja. Tylko wyleczenie stanów zapalnych pozwalało bezpiecznie kontynuować terapię. Doktor Katarzyna poprawiła więc błędy poprzedniego leczenia.
Wyleczyliśmy zęby. Nadszedł czas na zaplanowanie implantów w miejscu braku zębów.
Implantacją zajął się nasz chirurg szczękowo-twarzowy dr n. med. Piotr Chomik. Wstępne zdjęcia RTG pozwoliły mu ogólnie ocenić sytuację i przybliżoną wysokość kości. Do precyzyjnego i bezpiecznego zaplanowania implantacji potrzebował jednak dodatkowej tomografii komputerowej (CBCT).
Ten zaawansowany skan 3D dostarcza nieocenionych informacji. Pokazuje nie tylko wysokość, ale przede wszystkim szerokość i kształt kości w miejscu planowanego wszczepu, co jest niezbędne do dobrania implantu o idealnym rozmiarze.
CBCT umożliwia także ocenę gęstości tkanki kostnej — na tej podstawie doktor Piotr określa, czy implant będzie stabilny i nie wypadnie. Dodatkowo pozwala chirurgowi precyzyjnie zlokalizować nerwy — to szalenie istotne, aby trwale nie uszkodzić czucia w twarzy!
Dzięki pełnej diagnostyce zabiegi chirurgiczne w NDC są wyjątkowo dokładne. Chirurg jeszcze przed zabiegiem wirtualnie umieszcza implanty w trójwymiarowym modelu szczęk Pacjenta. Testuje różne pozycje i kąty, aby znaleźć optymalne rozwiązanie, a podczas zabiegu precyzyjnie prowadzi wiertło i implant zgodnie z cyfrowym planem. W ten sposób minimalizujemy ryzyko powikłań.
W dolnym łuku zębowym doktor Piotr wszczepił łącznie cztery implanty.
Tak zaplanowany zabieg chirurgiczny przebiegł bez przeszkód, a wszystkie implanty na finalnym zdjęciu RTG wyglądają na stabilne i jakby radosne. :-)
Kiedy implanty się goją, pora na naprawę funkcji. Znajdujemy prawidłowy zgryz… choć nie jest to proste.
Jednym z największych wyzwań było odnalezienie prawidłowej, terapeutycznej pozycji żuchwy względem szczęki. Bez tego cała rekonstrukcja byłaby obarczona ryzykiem niepowodzenia.
Starte i brakujące zęby nie dawały naturalnych wskazówek, jaka powinna być prawidłowa pozycja żuchwy (dolnych zębów) względem szczęki (górnych). Mięśnie żucia działały według utrwalonych, złych nawyków. Trudność polegała na określeniu fizjologicznej, komfortowej pozycji żuchwy wbrew temu oporowi mięśni.
Wykonanie kosztownej odbudowy protetycznej w złej pozycji oznaczałoby jej szybkie zniszczenie. Praca pękłaby lub obluzowała się prac, nasilając bóle stawów. Cały sukces leczenia zależał od tej prawidłowej podstawy.
Wykonaliśmy deprogramację zgryzu. To procedura, która pozwala „zresetować” nieprawidłowe nawyki mięśniowe i odnaleźć właściwą relację między szczękami. Pacjent przez kilka tygodni nosił specjalne nakładki na zęby, które rozluźniły mięśnie. Dzięki temu stworzyliśmy odpowiednią przestrzeń i prawidłowe warunki dla przyszłej odbudowy protetycznej.
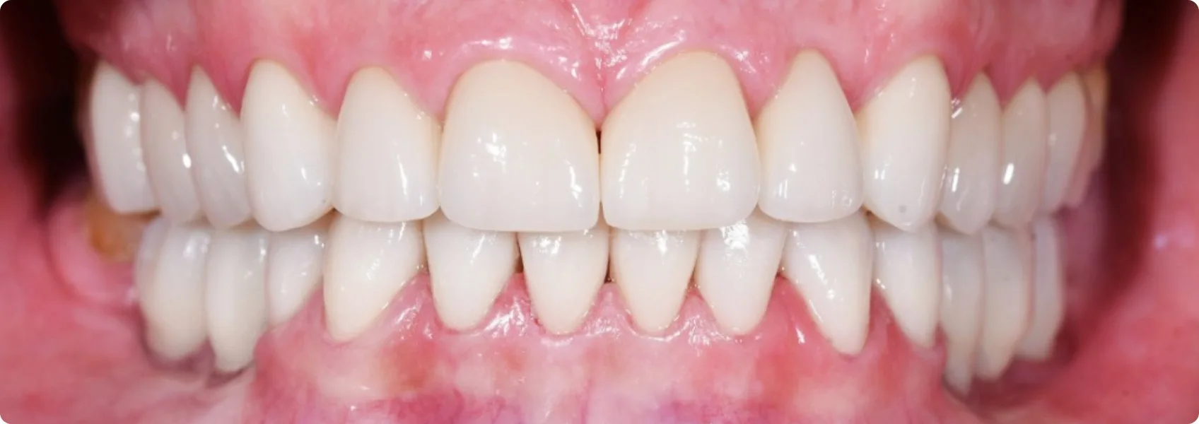
Finał: korony, implanty i most przywróciły uśmiech i komfort.
Gdy zgryz został prawidłowo ustawiony, a wszystkie zęby wyleczone i przygotowane, nadszedł czas na powrót do gabinetu protetycznego i finalną odbudowę.
Na przeleczonych, wzmocnionych zębach własnych Pacjenta doktor Adrian osadził estetyczne korony protetyczne. Po lewej stronie żuchwy wykonał dwie pojedyncze korony bezpośrednio na implantach. Po prawej — most protetyczny podtrzymywany przez dwa implanty. Łącznie pięć nowych zębów wypełniło luki.
Efekt? Ulga w bólu, nowy uśmiech, nowa jakość życia.
Wyleczyliśmy ból stawów. Przywróciliśmy funkcjonalność zgryzu, dzięki czemu Pacjent po raz pierwszy od lat mógł normalnie i bez bólu gryźć, żuć i mówić.
Poprawiliśmy nie tylko funkcję, ale i estetykę. Uśmiech stał się równy, bielszy, po prostu piękny! Pacjent odżył i odzyskał pewność siebie.
Taki wynik leczenia potwierdza skuteczność podejścia interdyscyplinarnego — wspólna praca protetyka, endodonty i chirurga pozwoliła przywrócić funkcjonalność całego układu stomatognatycznego na lata.

