Powrót

Fluoroza u młodej, ślicznej Pacjentki

Diagnoza
Fluoroza, nieestetyczne przebarwienia zębów
Wyzwanie
Wadliwa budowa szkliwa nie pozwalała na przyklejenie klasycznych licówek
Wdrożone leczenie
Licówki
Czas leczenia
8 wizyt (4 miesiące)
Lekarz prowadzący
dr n. med. Ewa Chomik

Fluoroza to efekt nadmiernego spożycia fluoru w dzieciństwie, gdy zęby się jeszcze rozwijają. Najczęściej dotyczy zębów stałych.

Fluor w niewielkich ilościach jest korzystny – wzmacnia szkliwo i zwiększa jego odporność na próchnicę. Jednak zbyt duże jego stężenie (głównie z wody pitnej) zaburza mineralizację szkliwa.

Proces ten zachodzi jeszcze zanim ząb wyrżnie się do jamy ustnej, czyli w dzieciństwie – już w życiu płodowym i przez pierwsze lata życia.

Prawidłowo rozwijający się ząb nasyca się minerałami (głównie wapniem i fosforanami), tworząc hydroksyapatyt – bardzo twardy, krystaliczny materiał. To właśnie z niego zbudowane jest szkliwo (najtwardsza substancja w ludzkim ciele!) oraz ukryta pod nim spodnia warstwa — zębina.

Dochodzi do nieodwracalnych uszkodzeń zęba.

Nadmiar fluoru zakłóca prawidłowe tworzenie się kryształów hydroksyapatytu.

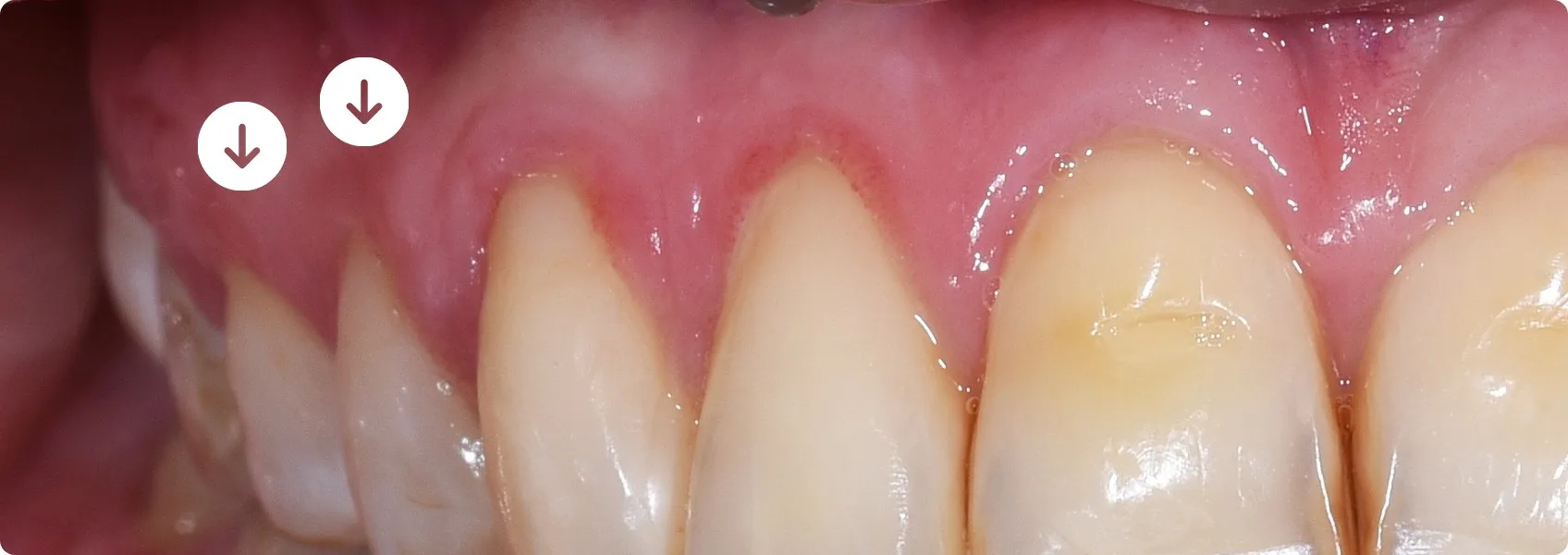
W rezultacie powstaje szkliwo, które zawiera niejednorodne kryształy, może być osłabione, przebarwione lub chropowate. Mogą pojawić się kruchość, pęknięcia czy ciemne plamy na zębach. Zęby zmieniają kolor. Przybierają odcienie od żółtawych po brązowe.

Fluoroza nie jest chorobą i nie powoduje bólu, ale może wpływać na estetykę uśmiechu, zwłaszcza gdy dotyczy przednich zębów.

U Pacjentki fluoroza wystąpiła w obrębie zębów górnych oraz dolnych. Do NDC zgłosiła się po zakończonym leczeniu ortodontycznym w innej klinice.

Dr n. med. Ewa Chomik zaproponowała pełną rekonstrukcję funkcjonalno-estetyczną obu łuków za pomocą licówek.

Wizja doktor Ewy była prosta. Założyć licówki. Zachować jak najwięcej naturalnego szkliwa i zębiny. Nie zeszlifować więcej, niż to absolutnie konieczne.

Przygotowanie planu leczenia… było odrobinę mniej proste. Nasza protetyk stanęła przed kilkoma wyzwaniami.

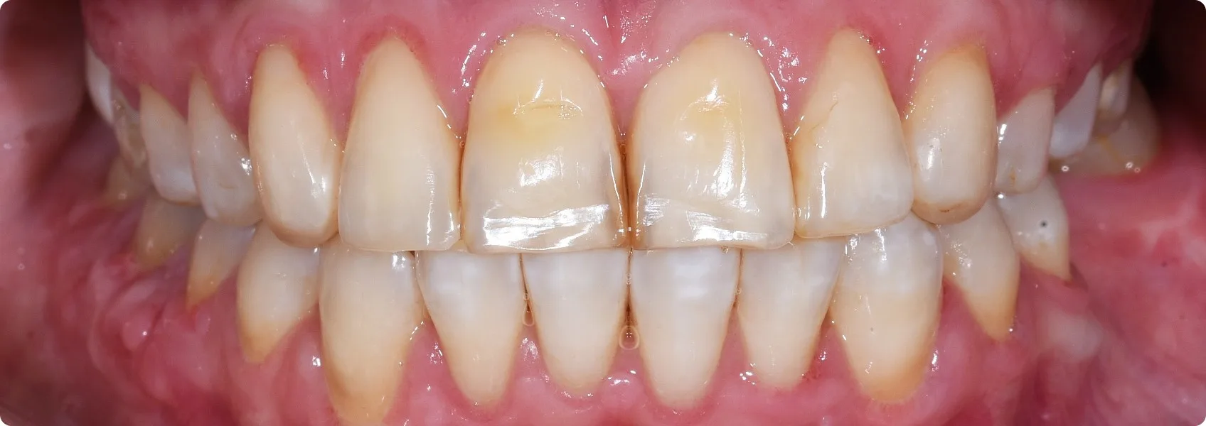
Licówki to cienkie płatki porcelany, które przykleja się do przedniej strony oszlifowanego zęba. Zęby Pacjentki trzeba było jednak wybielić aż o 5 odcieni. Do tego wadliwa budowa szkliwa z fluorozą nie pozwalała na przyklejenie klasycznych licówek (adhezyjnych).

To oznaczało, że licówka musi być większa i grubsza, a oszlifowanie (preparacja) zęba — głębsze. Tylko w takim przypadku kolor będzie satysfakcjonujący, a licówka się nie odklei.

Wybór padł na licówki o poszerzonym zasięgu — tzw. korony częściowe.

To specjalny typ licówek, które pokrywają większą część zęba niż te klasyczne. Nie tylko przednią powierzchnię, ale również fragmenty powierzchni żujących, siecznych lub bocznych. Można je traktować jako „półkorony”, ponieważ łączą estetykę licówki z częściową funkcją ochronną korony protetycznej.

Jeszcze tylko szybka plastyka dziąsła…

Naturalne korony przednich zębów Pacjentki były dość długie, w przeciwieństwie do tych w odcinkach bocznych. Dla podniesienia estetyki pracy doktor Ewa zaproponowała gingiwektomię — drobny zabieg korekty kształtu girlandy dziąsłowej.

Po usunięciu nadmiaru dziąsła z obu stron, zęby stały się dłuższe i bardziej proporcjonalne w stosunku do tych z przedniego odcinka.

Z laboratorium protetycznego nadeszły szablony (mock-upy) przygotowane na podstawie zeskanowanych modeli zgryzowych Pacjenta. Można rozpocząć zabieg.

Doktor Ewa oszlifowała zęby przy pomocy mock-upu. To nakładki, które pomagają protetykowi dokonać precyzyjnej preparacji. Nie możemy sobie pozwolić na to, by usunąć zbyt dużo cennej powierzchni zębów własnych.

Ciemna obwódka wokół dziąseł to specjalna nić, którą protetyk wkłada w kieszonkę dziąsłową tuż przed wykonaniem skanu. Dzięki nim odsłania się granica preparacji zęba. To miejsce, w którym kończy się szlifowanie pod licówkę.

Jeśli jej nie odsłonimy, technik dentystyczny nie zobaczy dokładnie, dokąd ma sięgać licówka. To prowadzi zwykle do niedokładnego dopasowania pracy protetycznej.

Dla większości Pacjentów włożenie nici retrakcyjnej nie jest bolesne, choć może być nieprzyjemne — zwłaszcza jeśli dziąsła są podrażnione.

Następny etap to dobór koloru przyszłych licówek.

Kolor nie ma być najjaśniejszy z wzornika. Kolor ma być dopasowany do twarzy i karnacji Pacjenta. Celujemy w naturalność. Paradoksalnie — nasi protetycy najwięcej pracy wkładają w to, by nikt jej nie zauważył.

Po oszlifowaniu zęby trzeba ponownie zeskanować. Następnie, jeszcze na tej samej wizycie, wykonujemy uzupełnienie tymczasowe (prowizorium).

Prowizorium to tymczasowe korony wykonane z akrylu (PMMA), które Pacjent nosi w oczekiwaniu na finalną pracę. Nie wypuszczamy z gabinetu z nagimi oszlifowanymi zębami!

Od razu po wyjściu z gabinetu Pacjent widzi już namiastkę przyszłego efektu leczenia, choć estetyka jest jeszcze daleka od idealnej. Zęby mają nienaturalną fakturę, są chropowate, plastikowe w dotyku, nieprzezierne na końcach.

Na tym jednak polega prowizorium — jest prowizoryczne. Pięknie będzie dopiero później.

Protokół leczenia był całkowicie cyfrowy. Zamiast wycisków — skaner wewnątrzustny. Zamiast woskowego wax-upu — drukowany.

Klasyczny wax-up to tworzony przez technika dentystycznego woskowy model zgryzu Pacjenta pokazujący efekt leczenia protetycznego.

W NDC od 2022 r. stosujemy w pełni cyfrowe protokoły. Drukowany wax-up to nowoczesna, cyfrowa wersja klasycznego wax-upu. Technik nie buduje go ręcznie z wosku, ale tworzy przy użyciu oprogramowania CAD i drukarki 3D.

Niektórzy lekarze pieszczotliwie nazywają taki model drux-upem. :-)

Wax-up ląduje w artykulatorze. Trzeba sprawdzić funkcję!

Artykulator to mechaniczne urządzenie, które pozwala technikowi symulować ruchy żuchwy Pacjenta, jakby model zębów gryzł i poruszał się tak samo jak w prawdziwych ustach. Artykulator musi być wyjątkowo precyzyjny. Urządzenie przenosi dokładne ustawienia i miary pobrane z twarzy Pacjenta.

Jeśli wax-up nie uwzględnia funkcji, może się okazać, że Pacjent zetrze nowe licówki, ceramika pęknie lub pojawi się ból w stawie skroniowo-żuchwowym.

Kiedy symulacja zgryzu potwierdza, że Pacjent może bezpiecznie przeżuwać, pora na try-in.

To prototyp gotowej pracy budowany na podstawie wax-upu. Jest mlecznobiałą nakładką wykonaną z tworzywa sztucznego, którą lekarz chwilowo zakłada na oszlifowane zęby. Na try-inie protetyk sprawdza, czy praca jest dokładna i pasywna.

Pasywna onacza, że doskonale pasuje do zębów własnych i nie wywiera na nie żadnych naprężeń. Nawet drobne niedoskonałości mogą przekreślić pasywność pracy. Niepasywna proteza może wymuszać ruch zębów, powodować ból, przeciążenia, a nawet złamanie zęba filarowego.

Try-in to w zasadzie gotowa proteza. Jedyną różnicą jest materiał. Try-in jest zbudowany z niedrogiego akrylu (PMMA). Finalne licówki będą pełnoceramiczne.

Sprawdzanie pasywności pracy za pomocą try-inu to jeden z wyznaczników dobrego gabinetu protetycznego.

Dopiero kiedy nie ma wątpliwości, że projekt jest idealny, technik przygotowuje finalne licówki.

To ten moment, w którym precyzja spotyka się z estetyką, a planowanie zamienia się w realny efekt. Dla lekarza to wyjątkowy etap — chwila ekscytacji, bo właśnie teraz cała koncepcja, nad którą pracował przez tygodnie, przechodzi do finalnej fazy.

Zaufanie do doświadczenia i rzemiosła technika gra tu główną rolę.

Każda licówka to nie tylko fragment ceramiki — to miniaturowe dzieło sztuki. Musi mieć idealny kształt, odcień, przezierność i teksturę powierzchni. Drobne niedoskonałości, które kopiują naturę.

Gdy licówki wracają z pracowni technicznej, protetyk sprawdza każdą z nich. Ocenia kolor, kształt i precyzję wykonania.

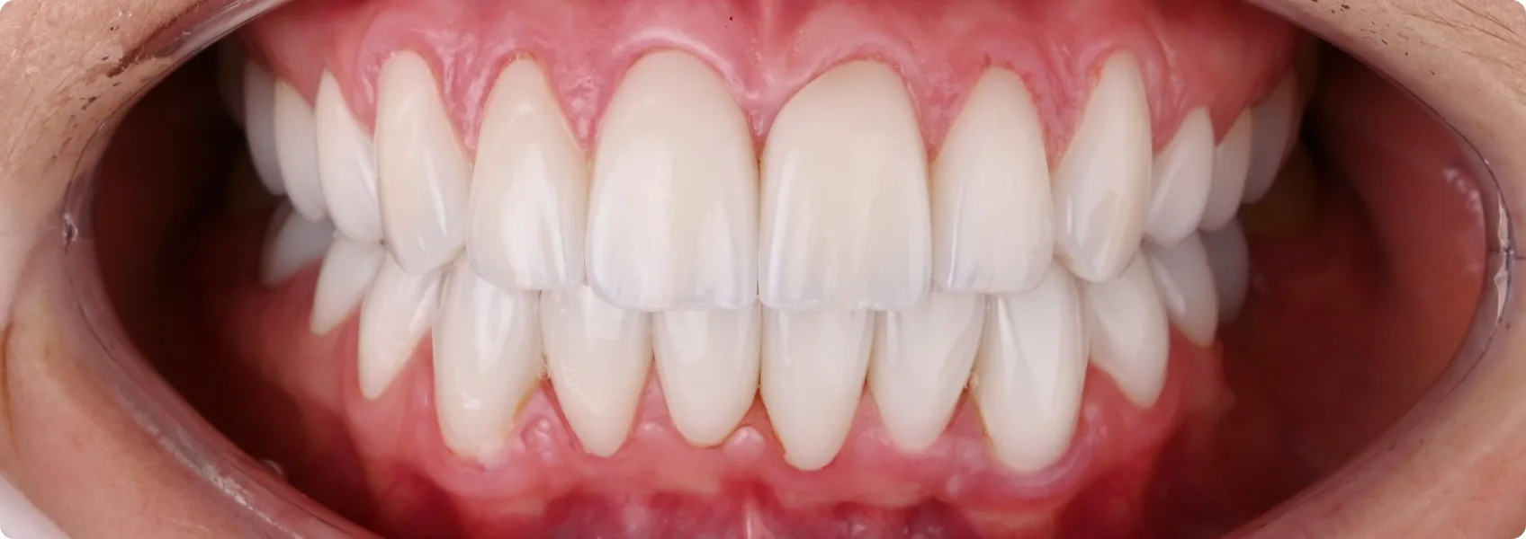
Nareszcie montaż licówek — najważniejsza chwila całego leczenia.

Efekt leczenia to nie przypadek. To wynik dziesiątek przemyślanych decyzji, precyzyjnej diagnostyki, współpracy lekarza z technikiem i ogromnego zaufania ze strony Pacjentki.

Od pierwszej konsultacji, przez planowanie cyfrowe, projektowanie uśmiechu, gingiwektomię, wax-up, mock-up, prowizorium i try-in — każdy etap miał znaczenie. Każdy był potrzebny, by rezultat był nie tylko piękny, ale też funkcjonalny i trwały przez lata.

Ewa Chomik

dr n. med.
specjalista protetyki

To od niej wszystko się zaczęło. Zawsze kulturalna, zawsze elegancka i poukładana. Tytan pracy.

Umów się na wizytę

Skontaktuj się z nami lub umów wizytę online.

+ 48 505 505 549
rejestracja@noirdentalclinic.pl
Zarezerwuj wizytę online →