Umów się na wizytę
Skontaktuj się z nami lub umów wizytę online.
Obserwuj nas w social mediach
aktualności • metamorfozy • treści edukacyjne
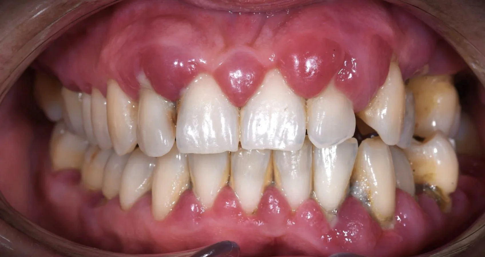
Higienizacja jest najprostszą drogą, aby uniknąć poważnych problemów z zębami.
Ten szybki i bezbolesny zabieg, dzięki usunięciu kamienia nazębnego, osadu i płytki bakteryjnej daje nam precyzyjny wgląd w stan zdrowia jamy ustnej.
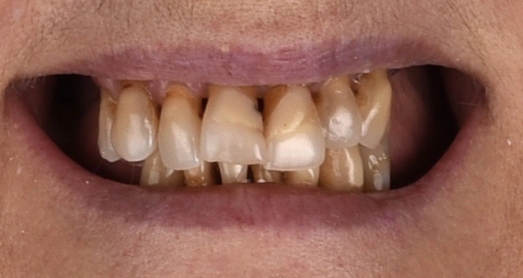
Niestety nadal zdarzają się Pacjenci, którzy nie zwracają należytej uwagi na odpowiednią higienę zębów, oto trzy schorzenia, które najczęściej wychodzą na światło dzienne podczas zabiegu higienizacji:
Stan zapalny dziąseł – to najwcześniejszy i najłatwiejszy w leczeniu etap choroby przyzębia. Nieleczony może prowadzić do stanu zapalnego przyzębia.
Stan zapalny przyzębia – to poważna choroba, której skutki są nieodwracalne i mogą prowadzić do utraty zębów.
Zarówno w przypadku zapalenia dziąseł jak i przyzębia Pacjenci zazwyczaj odczuwają dyskomfort, ale nie zdają sobie sprawy z zagrożenia. Dopiero po usunięciu kamienia i płytki bakteryjnej można jednoznacznie postawić diagnozę i rozpocząć leczenie, które wcześnie podjęte pomoże uniknąć wielu poważnych problemów.
Próchnica – trzecie schorzenie, które łatwo rozwija się ukryte pod osadem.
Szybkie rozpoznanie kończy się jednorazową wizytą i leczeniem zachowawczym, zaniedbania prowadzą do leczenia kanałowego, a nawet ekstrakcji zęba.
Higienizacja wraz z pantomogramem (zdjęcie panoramiczne) pozwala nam uzyskać pełen zestaw informacji na temat zdrowia naszej jamy ustnej. Te informacje są kluczowe, aby uniknąć problemów i większych wydatków, bo zawsze lepiej zapobiegać niż leczyć.
Podczas zabiegu higienizacji widoczne stają się wszystkie ubytki, odpryski, wytarcia, oraz przebarwienia, które higienistka w razie potrzeby kwalifikuje do konsultacji z lekarzem
Pierwszorazowym Pacjentom oferujemy również darmowe zdjęcie pantomograficzne, które pozwoli na kompletną ocenę stanu zdrowia Twoich zębów.
Zadzwoń pod numer +48 505 505 549, zapisz się na konsultację i powołaj na naszą promocję.
Skontaktuj się z nami lub umów wizytę online.