Baza wiedzy

Dobry vs zły implant. Czym się różnią?

Czym jest implant?

Implant to nic innego jak nowy korzeń zęba. To fundament do odbudowy brakującego zęba. Do niego po czasie gojenia umocowana zostanie korona protetyczna. Z czystko technicznego punktu widzenia to mała tytanowa śrubka długości od kilku do kilkunastu milimetrów pogrążona w kości.

Na zdjęciu widać efekty prawidłowego planowania leczenia, po szczegółowych badaniach wykonujemy model, Pacjent wie jaki będzie efekt ostateczny, leczenie jest precyzyjne, przewidywalnie, bezpieczne.

Pacjentowi zostały wszczepione 3 implanty, w oparciu o nie została dokonana rekonstrukcja. Wloty do śrub są schowane na powierzchni podniebiennej i językowej.

Dobry implant

Właściwa pozycja implantu – podstawą sukcesu leczenia!

Niezwykle istotnym jest, aby pozycja implantu była precyzyjnie określona. Przed zabiegiem wszczepienia, lekarze poświęcają znaczną ilość czasu, nad oceną warunków podłoża kostnego oraz stanu dziąsła. Taka analiza jest konieczna aby określić czy wszczepienie implantu jest możliwe. Nierzadko przed implantacją konieczne jest przeprowadzenie zabiegów mających na celu regenerację brakujących tkanek.

Jakie korzyści daje nam właściwa pozycja implantu?

Po pierwsze trwałość rekonstrukcji. Prawidłowo pogrążony implant latami utrzymuje odpowiednią ilość tkanki kostnej. W sposób fizjologiczny przenosi siły żucia, dzięki czemu uzupełnienie jest wydolne i funkcjonalne.

Prawidłowa pozycja wszczepu, to optymalna ilość dziąsła wokół korony, a to z kolei zapewnia naturalny wygląd uzupełnienia.

Jakość implantu ma znaczenie.

Utrzymanie tkanki kostnej wokół implantu na przestrzeni lat stanowi o sukcesie leczenia. Oprócz właściwej pozycji sprzyjającej stabilności tkanki kostnej istotne znaczenie ma powierzchnia samego wszczepu.

Wiodące marki implantologiczne wdrażają technologie specjalnej obróbki tytanu co przekłada się na zwiększoną wydajność gojenia kości. Ponadto, zapewniając o skuteczności swoich rozwiązań udzielają dożywotniej gwarancji na implant pogrążony w kości.

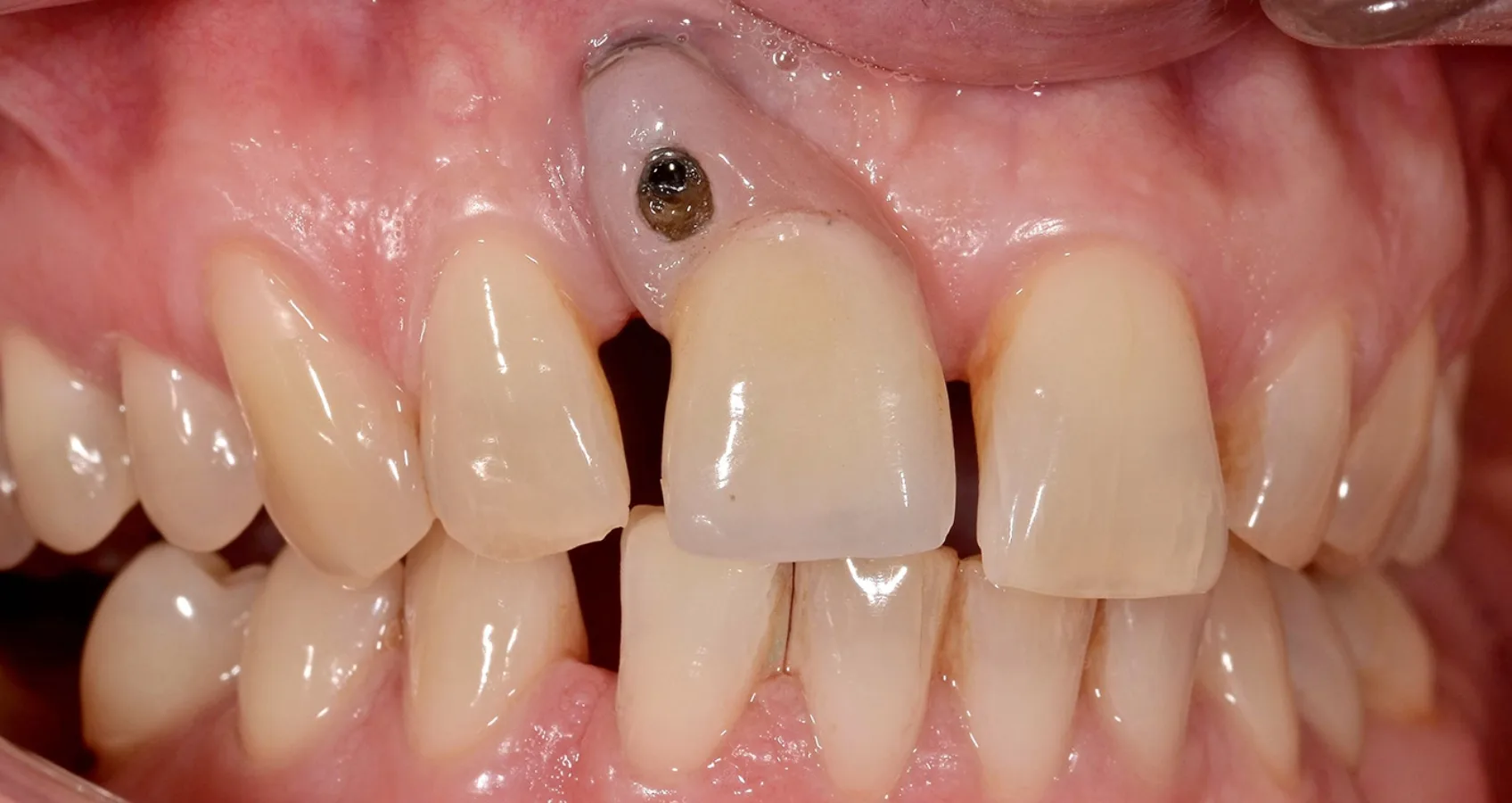
Na zdjęciu widać wloty śrub, co wyraźnie psuje wrażenia estetyczne.

Zły implant

Jakie mogą wystąpić powikłania?

Brak prawidłowego planowania leczenia implantoprotetycznego oraz niedokładna kliniczna ocena podłoża może skutkować wykonaniem rekonstrukcji, która nie spełni estetycznych oczekiwań.

Niekorzystna pozycja wszczepu z biegiem lat może być nawet przyczyną dezintegracji implantu (wydzielenia), na skutek niefizjologicznego przenoszenia sił żucia, powodującego zanik tkanki kostnej.

Dlatego niezwykle istotnym jest, aby leczenie implantoprotetyczne prowadzić rozważnie: planować pozycję wszczepu, szanować wymagany czas gojenia implantu, niezwykle dbać o estetykę rekonstrukcji oraz korzystać z renomowanych i sprawdzonych systemów implantologicznych.

Wyraźnie widać nieprawidłową pozycję wszczepienia implantu.

Myślisz o leczeniu stomatologicznym?

Zapisz się na konsultację do naszych specjalistów
Umów się na wizytę →

Pozostałe artykuły

Umów się na wizytę

Skontaktuj się z nami lub umów wizytę online.

+ 48 505 505 549
rejestracja@noirdentalclinic.pl
Zarezerwuj wizytę online →